Миеломная болезнь считается онкологическим поражением кровеносной системы, при котором происходит злокачественное перерождение тканей костного мозга. На сегодняшний день заболевание невозможно вылечить, все лечебные мероприятия направлены исключительно на максимально возможное продление жизни онкобольного человека.
Что такое миелома крови и в чем опасность данного заболевания?
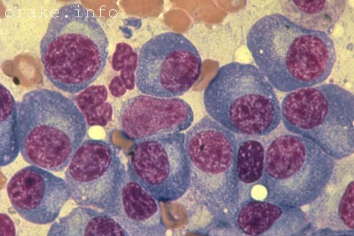
Данная патология со стороны крови проявляется увеличением концентрации атипичных плазматических клеток, которые препятствуют лейкоцитам и лимфоцитам бороться с инфекционными факторами.
При этом первичный очаг онкологии в костном мозге стимулирует выработку специфического протеина, который через большой круг кровообращения распространяется по всему организму.
Врачи отмечают, что миелома крови представляет собой сложное заболевание, требующее комплексного подхода к диагностике и лечению. Специалисты подчеркивают важность раннего выявления, так как это значительно повышает шансы на успешное лечение. Современные методы, такие как иммунотерапия и таргетная терапия, открывают новые горизонты в борьбе с этим недугом. Однако, несмотря на достижения медицины, миелома остается хроническим заболеванием, что требует от пациентов постоянного мониторинга и поддержки. Врачи также акцентируют внимание на необходимости индивидуального подхода к каждому пациенту, учитывая его общее состояние и сопутствующие заболевания. Психологическая поддержка и информированность пациентов о своем состоянии играют ключевую роль в процессе лечения.

Множественные миеломы крови
Миеломная патология протекает в двух основных вариантах:
- Солитарная или одиночная опухоль. Такая форма онкологии является очень редкостной.
- Множественная миелома. Подавляющее число клинических случаев протекает именно в таком формате, когда в костном мозге формируются одновременно несколько очагов мутации.
Причины и факторы риска
Этиология заболевания считается неизвестной. Специалисты выделяют следующие факторы риска, которые могут спровоцировать развитие миеломы крови:
- Возраст пациента: наиболее восприимчивой категорией населения являются люди старше 65 лет.
- Половая принадлежность: большинство миеломных патологий диагностируются у мужчин.
- Расовый признак: афроамериканцы чаще болеют данным недугом.
- Генетическая предрасположенность.
- Наличие в анамнезе таких заболеваний как моноклональная гаммапатия и одиночная плазмоцитомная опухоль.
Важно знать: Миелома – что это? Как лечить?
Миелома крови, или множественная миелома, вызывает множество обсуждений среди пациентов и их близких. Многие отмечают, что диагноз становится шоком, так как заболевание часто проявляется неожиданно. Люди делятся своими переживаниями о симптомах, таких как усталость, боли в костях и частые инфекции. Важно отметить, что многие пациенты находят поддержку в сообществах, где могут обмениваться опытом и советами.
Некоторые говорят о сложности лечения, но также подчеркивают, что современные методы терапии значительно улучшили качество жизни. Многие отмечают, что важно сохранять позитивный настрой и активно участвовать в своем лечении. Врачи и медицинские работники играют ключевую роль в этом процессе, помогая пациентам понять все аспекты болезни и доступные варианты лечения. В целом, несмотря на трудности, люди стремятся поддерживать друг друга и находить надежду на выздоровление.

Симптомы и ранние признаки
Начальный период онкологии протекает бессимптомно, не вызывая в онкобольного никаких субъективных ощущений. По мере прогрессирования, болезнь может проявляться следующим образом:
- периодические приступы боли в костных тканях;
- анемия, которая проявляется быстрой утомляемостью и хроническим недомоганием;
- стремительное снижение массы тела;
- нарушение деятельности высшей нервной системы, постоянная жажда. Эти симптомы зачастую указывают на превышение допустимых показателей содержания кальция;
- хронические патологии почек;
- регулярные инфекционные процессы.
Как осуществляется диагностика?
В большинстве случаев диагностика миеломного поражения происходит по результатам биохимического анализа крови, который назначался совершенно по другой причине. Онкологическую настороженность у врача могут вызвать следующие изменения параметров кровеносной системы:
- Гиперкальцемия на фоне анемии.
- Повышенная концентрация креатенина, что является признаком хронической почечной недостаточности.
- Увеличение содержания белка в крови и моче. При этом наблюдается дефицит альбумина.
Кроме лабораторного анализа, онкодиагностика миеломного поражения включает рентгенологическое исследование. Наличие злокачественного очага костной ткани можно определить даже на традиционном рентгеновском снимке.

Лечение больных
Адекватная и полноценная противораковая терапия при диагнозе “миелома крови” способна существенно облегчить страдания онкобольного и тем самым продлить его жизнь. С этой целью пациенту могут быть предложены следующие варианты лечения:
Индукционная терапия:
Данная методика основывается на высокочастотном воздействии на головной мозг для коррекции самосознания. В некоторых случаях такое лечение способно ненадолго улучшить состояние онкобольного.
Трансплантация стволовых клеток:
Хирургическое вмешательство очень часто существенно продолжает длительность жизни пациента.
Химиотерапия:
Противоопухолевые препараты являются менее эффективным средством противораковой терапии, нежели трансплантация и индукционное воздействие. Внутривенное введение химиотерапевтических препаратов сопряжено с высокой вероятностью осложнений. В связи с этим, такое лечение миеломы крови имеет ряд противопоказаний, что ограничивает ее применение.
Гормонотерапия:
Системное введение кортикостероидов, как правило, выступает дополнением к химиотерапии, что снижает риски побочного действия цитостатиков.
Радиотерапия:
Использование лучевой терапии определяется индивидуально в зависимости от чувствительности опухолевых тканей к высокоактивному радиоактивному излучению. Для некоторых пациентов радиотерапия – это единственный способ купировать болевой синдром и ненадолго стабилизировать рост злокачественных новообразований.
Прогноз. Можно ли вылечиться?
К сожалению, на данном этапе развития онкологической науки миеломная болезнь считается неизлечимым недугом. Все лечебные мероприятия для таких больных носят паллиативный характер и направлены только на максимально возможное продление жизни.
Важно знать: Как победить миеломную болезнь?
Выживаемость
В медицинской практике показатель выживаемости пациентов с диагнозом “миелома крови” оценивается по количеству онкобольных, которые прожили пять лет после установления окончательного диагноза. Пациенты с множественными миеломными очагам в костных тканях имеют негативный прогноз. Это отображается в 1-5% коэффициенте 5- тилетней длительности жизни.
Сколько живут такие пациенты?
Согласно международной статистике, средняя продолжительность жизни больных с миэломным поражением не превышает 2-3 лет. Своевременное проведение комплексной противораковой терапии может продлить длительность жизни онкобольного на 2 – 4 года.
Ведущие специалисты рекомендуют пациентам с окончательным диагнозом «миелома крови» регулярно проходить онкологический осмотр и сдавать анализы для контроля биохимического состава крови. Таким образом, врач способен своевременно обнаружить обострение недуга и назначить симптоматическое лечение. В большинстве случаев, такие больные требуют осуществления противоболевого и дезинтоксикационного лечения.
Вопрос-ответ
Сколько человек может прожить с миеломой?
Прогноз и профилактика заболевания. Прогноз выживаемости зависит от стадии, на которой выявлена множественная миелома, и ее вида. При выявлении на I и II стадиях средняя продолжительность жизни составляет 4-4,5 лет, при IIIA стадии – около 2,5 лет.
Что такое миеломная болезнь крови?
Миелома – это заболевание, при котором происходит избыточное размножение плазматических клеток и повышение уровня специфических иммуноглобулинов. Заболевание поражает преимущественно костный мозг, непосредственно кости, а также влияет на иммунитет пациента. Реже страдают лимфатические узлы, кишечник и селезенка.
Советы
СОВЕТ №1
Регулярно проходите медицинские обследования. Раннее выявление миеломы крови может значительно повысить шансы на успешное лечение. Обсуждайте с врачом любые симптомы, которые вас беспокоят, такие как усталость, боли в костях или частые инфекции.
СОВЕТ №2
Поддерживайте здоровый образ жизни. Правильное питание, регулярные физические нагрузки и отказ от вредных привычек помогут укрепить иммунную систему и улучшить общее состояние здоровья, что особенно важно при наличии миеломы крови.
СОВЕТ №3
Общайтесь с другими пациентами и специалистами. Присоединение к группам поддержки или форумам может помочь вам получить полезную информацию и эмоциональную поддержку от людей, которые сталкиваются с аналогичными проблемами.
СОВЕТ №4
Не забывайте о психоэмоциональном здоровье. Заболевание может вызывать стресс и тревогу, поэтому важно уделять время для отдыха и релаксации. Рассмотрите возможность занятий йогой, медитацией или другими методами, которые помогут вам справиться с эмоциональными нагрузками.


