Доброкачественное образование, которое характеризуется медленным ростом и состоит, в основном, из хорошо дифференцированных зрелых тканей, называется остеома. Она может возникать как в кости, так и в мягких тканях.
Остеогенные опухоли (остеомы) представлены такими гистологическим образцами, как:
- Слоновой кости (плотного соединения);
- Губчатая (зрелое образование, часто напоминает обычную ткань);
- Комбинированная (включает обе предыдущие).
Остеомы, как правило, возникают в придаточных пазухах носа, черепе, челюстях или костях конечностей. Ткань образования имеет ограниченный локальный рост и преимущественно меньше 2 см в диаметре.
Остеома – фото:
Классификация остеом
В зависимости от ткани и места расположения, остеомы представлены такими основными типами:
- Собственно остеомой ‒ незлокачественные опухоли, которые возникают в черепе, челюстных костях и придаточных пазухах носа (лобной пазухе, решетчатых воздушных ячейках, гайморовых пазухах и редко в клиновидной пазухе). Вариант остеомы ‒ остеофиты, которые, в отличие от остеом, выходят на поверхности кости и поэтому более заметные.
- Остеоидными остеомами (остеобластомой) ‒ образованиями с доброкачественным ростом, которые поражают длинные кости, а также малые и большие кости осевого и аппендикулярного скелета, особенно бедра, голени и плечевой кости.
- Остеосаркома ‒ очень распространенное раковое заболевание кости, которое характеризуется быстрым ростом и высокой агрессивностью ракового процесса. Устанавливается после гистологических анализов и ранней диагностики рака.
Остеома кости – фото:
Остеома представляет собой доброкачественную опухоль, которая чаще всего возникает в костной ткани черепа, лицевых костях и длинных костях. Врачи отмечают, что визуально остеома может выглядеть как гладкое, плотное образование, часто имеющее округлую или овальную форму. На рентгеновских снимках остеома демонстрирует четкие контуры и однородную структуру, что позволяет легко отличить её от других типов опухолей. В большинстве случаев остеомы не вызывают симптомов и обнаруживаются случайно при обследованиях. Однако, если опухоль располагается в области, где может сдавливать окружающие ткани, это может привести к болевым ощущениям или другим проблемам. Врачи подчеркивают важность регулярных осмотров и диагностики для своевременного выявления и контроля за состоянием остеомы.

Как выглядит остеома?
Остеома характеризуется костной выпуклостью, состоящей из пластинчатой ткани. Иногда могут присутствовать очаги фиброзно-костного поражения.
На рентгенограмме остеомы выглядят по-разному, в зависимости от вида:
- Остеомы слоновой кости проявляются как хорошо очерченные образования однородной плотности.
- Губчатые остеомы состоят из кости, что может включать кроветворные элементы костного мозга или жира.
- Более давние остеомы могут напоминать «нормальную» кость с иногда видимым пространством костного мозга.
Компьютерная томография описывает остеому как образование переменной плотности, которое может располагаться на широкой основе или иметь коронарное изображение (на ножке).
Под микроскопом остеомы имеют вид образований, покрытых снаружи тонким слоем волокнистой надкостницы. Цвет ‒ желто-белый, бугристый.
Как выглядит остеома лобной пазухи?
Лобная пазуха ‒ наиболее распространенное место для образования остеом. Большое образование вызывает безболезненный отек лица, ощущение препятствия в дыхательных путях, в частности – синусит. Частыми проявлениями остеомы являются головная боль и глазные проблемы.
Остеомы лобной пазухи обычно представлены образованиями размером от 2 до 30 мм, но могут быть и больше. В этом случае речь идет о гигантской остеоме. Костлявая масса, заполняющая пространство лобной пазухи, может вызывать воспаление и влиять на работу организма. По этой причине специалисты рекомендуют иссечение опухоли.
Остеома – это доброкачественная опухоль, которая чаще всего встречается в костях черепа и лицевой области. Люди, столкнувшиеся с этой проблемой, отмечают, что остеомы могут быть бессимптомными и обнаруживаются случайно при рентгенографическом исследовании. На фото остеомы видно, что она выглядит как округлое или овальное образование, часто с четкими границами. Размеры могут варьироваться, но обычно они небольшие. Некоторые пациенты делятся своими переживаниями о том, как остеома влияет на их жизнь: в большинстве случаев это не вызывает серьезных проблем, но в редких ситуациях может потребоваться хирургическое вмешательство. Важно отметить, что остеомы не склонны к злокачественному перерождению, что успокаивает многих пациентов.

Остеома лобной кости: фото и описание
Остеогенное поражение лобной кости возникает в 40-80% заболеваний. Однако, остеомы лба без участия пазухи ‒ редкие случаи. Как правило, такие опухоли увеличиваются постепенно. Это овальной формы наросты, которые вызывают у пациентов эстетические проблемы.
Остеомы лобной кости покрытые кожей обычной текстуры и цвета, без кровоточивости и диффузных полей. Обычно они появляются как односторонние ограниченные массы от 1,5 до 40 мм в диаметре. Специалисты рекомендуют хирургическое удаление и последующие гистологические анализы.
Остеома лобной кости – фото:

Остеома затылочной кости
Затылочная область ‒ редкое место для образования остеом. Заболевание часто протекает бессимптомно и выявляется только в ходе радиологических исследований.
Из признаков, указывающих на образование, выделяется головокружение, повышенная чувствительность к внешним раздражителям, возможно давление на внутреннее ухо.
На рентгене остеома затылочной кости изображается как плотная костлявая масса, которая может иметь вид как мелкой фасоли, так и большой опухоли. Возникает из свода черепа без разрушения костной структуры. Опухоль удаляется во избежание осложнений и по косметологическим причинам.
Остеома затылочной кости – фото:

Остеома челюсти: характеристика и фото
Челюстная остеома обычно локализируется в нижней челюсти. Наиболее распространенные места ‒ задняя сторона нижней челюсти, латеральная ветвь, ниже моляров и нижнечелюстного канала. Остеома обычно круглой или овальной формы. На снимке изображается как однородная рентгеноконтрастная проекция на широкой базе, редко на ножке. Поля ‒ гладкие, хорошо определены и имеют корковидную поверхность. Губчатый вид представлен шаблоном обычной кости.
Большие остеомы могут сместить мягкие ткани, такие как мышцы, и привести к дисфункции и асимметрии.
Остеома ребра
Остеома ребра, в основном, представлена остеоидной остеомой и является довольно редким заболеванием (всего 5-10 % случаев). Она характеризуется хорошо разграниченным ядром размером менее 1 см. Основной симптом ‒ боль, которая усиливается в ночное время и проходит после приема нестероидных противовоспалительных препаратов и салицилатов.
Поражение обычно включает заднюю или боковую сторону ребра. Но в процесс может быть вовлечена и висцеральная сторона ребра (прилегающая к органам). Очаг опухоли отчетливо наблюдается при рентгенологическом исследовании. Компьютерная томография способна выявить точное место образования остеомы ребра.
Остеома теменной кости
Доброкачественные опухоли теменной области могут быть представлены остеоидными остеомами и разновидностью ‒ остеобластомами. Первые ‒ статические поражения до 1,5 см в диаметре. Вторые ‒ существенно превышают эту цифру и постоянно растут. В своде черепа встречаются редко (1%).
Остеома теменной кости обычно возникает в детстве. Особых симптомов не вызывает. На рентгене изображается как выпуклая масса без признаков значительного разрушения кости или вторжения в иные ткани.
Остеоидная остеома теменной кости более болезненна, нежели остеобластома. Но как одна, так и другая, требуют резекции из-за опасности локализации.
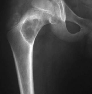
Остеома бедренной кости
Бедренная кость (особенно шейка бедра) ‒ наиболее распространенное место локализации остеоидной остеомы. Она состоит из расширенных сосудов, остеобластов и ткани самой кости. Может иметь центральную область минерализации или сосудисто-волокнистый край. Также, остеома способна сформироваться в любом месте в пределах кости.
На рентгенограмме выглядит как нормальная кость или выявляет утолщение.
Остеома бедренной кости – фото:
Следует знать, как выглядит остеома (фото, особенно на рентгене), поскольку внешне ее сложно отличить от более агрессивного онкологического образования.
Вопрос-ответ
Как выглядит остеома?
Как выглядит остеома? Это образование чаще всего является одиночным, имеет круглую или овальную форму, развивается из-под надкостницы или внутренней части, прилежащей к костномозговому каналу. Патологическое образование имеет твердую консистенцию.
Нужно ли удалять остеому?
Если опухоль не причиняет больному неудобств, то специалисты медицинского центра “СМ-Клиника” рекомендуют наблюдательную тактику. Если небольшая остеома останавливается в росте, то ее не нужно лечить и удалять. Лечение остеомы проводится только хирургическим путём.
Какая остеома считается большой?
Остеома считается гигантской, если ее размер превышает 30 мм. Гигантские остеомы околоносовых пазух мало распространены, при этом часто локализуются в полости черепа или орбиты, вызывая серьезные осложнения.
Советы
СОВЕТ №1
Перед тем как обращаться к врачу, внимательно изучите симптомы остеомы. Это поможет вам лучше понять, что именно вас беспокоит, и подготовиться к консультации.
СОВЕТ №2
Обратите внимание на визуальные изменения в области, где вы подозреваете наличие остеомы. Сделайте фотографии, чтобы показать врачу, если это потребуется.
СОВЕТ №3
Не стесняйтесь задавать вопросы своему врачу о диагнозе и возможных методах лечения. Чем больше вы будете знать, тем легче будет принять решение о дальнейшем лечении.
СОВЕТ №4
Если вам поставили диагноз остеома, рассмотрите возможность получения второго мнения от другого специалиста. Это поможет вам убедиться в правильности диагноза и выборе оптимального лечения.





