Миеломой называется злокачественное поражение клеток плазмы. Другими словами, это онкологическое заболевание всей кровеносной системы, отличающееся от привычной онкологии отсутствием традиционной опухоли. Раковые клетки поражают весь костный мозг. Патология сопровождается аномальной хрупкостью костей, больные страдают от частых переломов.
Возможна ли ремиссия при миеломе, сколько она может продлиться и каковы прогнозы этой болезни?
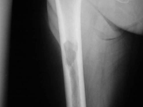
Последствия, к которым может привести миелома
При постановке диагноза онколог обязательно уточняет тип заболевания по распространенности – солитарная миелома либо множественная.
- Солитарная – значит “единичная”, находится лишь в одном месте — каком-либо лимфоузле или кости с костным мозгом.
- Множественная, как следует из названия, состоит из нескольких злокачественных очагов: в костях с костным мозгом, в селезенке или лимфатической системе. Заболеванию могут быть подвержены кости позвоночника, ребер, лопаток, черепа, конечностей и подвздошные крылья.
Проблемы со здоровьем больной замечает не сразу. На начавшийся в организме злокачественный процесс могут указывать, к примеру, высокая СОЭ, белок в моче и др. Позже начинают проявляться первые симптомы болезни:
- слабость;
- головокружение;
- повышенная утомляемость;
- проблемы с дыханием;
- снижение массы тела;
- болезненные ощущения в костях.
Миелома приводит к множеству негативных последствий для здоровья человека, среди которых:
Костная патология
Миелома поражает ребра, позвоночник, тазовые кости, грудину. Появляются опухоли, случаются переломы. Перелом может случиться просто от сильного нажатия на кость. 90% пациентов страдают от болей. Позже человек начинает с трудом двигать конечностями, испытывает сложности при поворотах. На ребрах, черепе и других костях появляются заметные опухолевые узлы. Возникает остеопороз.
Нарушения работы иммунной системы
Опухоль, разрастающаяся в костном мозге, провоцирует иммунодефицитное состояние. Больные подвержены различным вирусным инфекциям, пневмонии, бронхиту, пиелонефриту и т. п.
Аномалии свертываемости крови
Проблемы в кроветворной системе становятся очевидны не сразу. Сначала появляется ускорение СОЭ, анемия, позже обнаруживается нехватка нейтрофилов и тромбоцитов.
Высокая вязкость крови
Данная патология объяснятся высоким содержанием в крови аномального белка, производимого миеломой. Этот белок проникает во внутренние органы и становится причиной нарушения их работы. Проявляется это онемением конечностей, частыми головными болями, снижением зрения, склонностью к кровотечениям, различными трофическими изменениями, доходящими до гангрены.
Поражение почек
От этой патологии страдают 80% больных миеломной болезнью. Почки заселяются опухолевыми клетками и кальцинатами (каменным осадком – продуктом разрушения костей), канальцы – аномальными белками. В результате орган уплотняется, развивается хроническая почечная недостаточность. Она вызывает интоксикацию организма, тошноту, рвоту, изменение сознания, обострение анемии и, как результат, – уремическую кому, которая часто становится причиной смерти больного.
Поражение нервной системы
При заражении мозга и его оболочек раковыми клетками, поражаются периферические нервы. Больной чувствует сильную слабость, боли. При сдавливании спинномозговых корешков может наступить паралич.
Миелома в термальной стадии отличается стремительным увеличением симптомов интоксикации. Больным становится хуже буквально на глазах. Они теряют вес, лихорадят, страдают от множества осложнений болезни. На этой стадии имеется вероятность трансформации миеломы в острый лейкоз.
Врачи подчеркивают, что достижение ремиссии при миеломе требует комплексного подхода и индивидуального плана лечения. Основными методами остаются химиотерапия, таргетная терапия и, в некоторых случаях, трансплантация стволовых клеток. Важно учитывать не только стадию заболевания, но и общее состояние пациента, его возраст и сопутствующие болезни. Регулярный мониторинг уровня белка в крови и других показателей позволяет врачам корректировать лечение в реальном времени. Также специалисты акцентируют внимание на значении поддерживающей терапии и образа жизни: сбалансированное питание, физическая активность и психологическая поддержка играют важную роль в улучшении качества жизни и увеличении шансов на ремиссию. Врачи настоятельно рекомендуют пациентам не прерывать лечение и следовать рекомендациям, что способствует более успешному контролю заболевания.

Возможна ли ремиссия при миеломе вообще?
Если болезнь вовремя диагностирована и своевременно пройден курс лечения, ремиссия возможна. Для ее удлинения обычно назначают поддерживающую терапию препаратов a-интерферона. Однако, каждая следующая ремиссия, как правило, короче предыдущей и менее вероятна.
Как добиться ремиссии при миеломе?
Ответ на этот вопрос может быть только один: строго выполнять все назначения онколога. Если заболевание протекает бессимптомно – больной постоянно находится под контролем врачей. С появлением выраженной симптоматики назначаются следующие виды лечения.
Химиотерапия:
Ее применяют для борьбы с заболеванием в развернутой стадии. Кроме того, назначают цитостатики и другие препараты. Курс лечения каждого больного индивидуален. Химиотерапия бывает следующих видов:
- стандартная;
- высокодозная.
При назначении онколог учитывает и возраст пациента, и степень сохранности функции почек. Пациентам моложе 65 лет, не имеющим тяжелых осложнений болезни, может быть назначено лечение высокодозной химиотерапией в комплексе с трансплантацией стволовых клеток.
Лучевая терапия:
Как правило, она назначается больным с компрессией спинного мозга и ослабленным пациентам.
Иммунотерапия:
Пациенту назначают препараты интерферона, которые тормозят рост клеток миеломы.
Хирургическое лечение в комплексе с ортопедическим:
Применяется чаще всего при переломах костей.
Трансплантация костного мозга:
В случаях удачной пересадки костного мозга фиксируются хорошие результаты.
Таргетная терапия:
Здесь для лечения применяются моноклональные антитела.
Плазмаферез:
С его помощью кровь очищают от парапротеинов.
Миелома — это сложное заболевание, и многие пациенты делятся своим опытом в поисках ремиссии. Люди отмечают, что важным шагом является ранняя диагностика и своевременное лечение. Многие рекомендуют активно сотрудничать с врачом, чтобы подобрать индивидуальную терапию. Важным аспектом является поддержка близких, которая помогает справляться с эмоциональными и физическими трудностями. Некоторые пациенты делятся, что здоровый образ жизни, включая правильное питание и физическую активность, также играет значительную роль в улучшении состояния. Не менее важным является регулярное наблюдение и контроль за состоянием, что позволяет вовремя реагировать на изменения. В целом, оптимизм и вера в успех, по мнению многих, становятся важными факторами на пути к ремиссии.

Можно ли полностью вылечить миелому?
К сожалению, на сегодняшний день по поводу данного заболевания онкологи не дают благоприятных прогнозов. Показатель выживаемости больных, у которых диагностирована множественная миелома, оценивается по тому, какой процент пациентов прожил 5 лет после постановки диагноза. Если болезнь не лечится, редкие больные проживают 2 года. Если лечение проводится – среднестатистические данные говорят о том, что вовремя назначенная химиотерапия, сочетаемая с другими видами лечения, способна вызвать ремиссию на 2-3 года. В зависимости от того, насколько быстро прогрессирует болезнь, пациент после лечения проживает от 2 до 5 лет. Излечение с исчезновением симптомов на срок более 10 лет возможно лишь у тех больных, которым была диагностирована солитарная форма миеломы.
Нужно ли продолжать лечить миелому во время ремиссии и как это делать?
Можно говорить о частичной ремиссии, когда достигнуты следующие результаты:
- снизился уровень плазмоцитов в костном мозге – не менее, чем на 50%;
- в моче снизился уровень моноклонального белка – не менее, чем на 50%;
- в крови нормализовался уровень белка, гемоглобина и кальция.
Любой онкологический больной очень хочет продлить срок долгожданной ремиссии. В этом стремлении желательно не проявлять излишней самостоятельности и следовать рекомендациям врача. Однако, стоит сказать, что многие онкологи признают в качестве дополнения к традиционному лечению альтернативную терапию.
Вспомогательные методы лечения:
- Прием антиоксидантов – растительного происхождения, животного или медицинских препаратов для замедления процессов окисления.
- Комплекс психологических и физических мероприятий, дыхательные упражнения – снижают усталость, придают силы.
- Иглоукалывание – снижает побочные эффекты лучевой терапии и химиотерапии.
- Применение препаратов растительного и животного происхождения для повышения иммунитета.
- Применение различных природных компонентов, способных затормозить рост злокачественных клеток.
Стоит помнить, что альтернативная терапия ни в коем случае не может заменить собой традиционное лечение и может применяться только в комплексе с ним или в период ремиссии. Прежде чем начать самостоятельное применение какого-либо препарата, непременно нужно узнать мнение лечащего врача по этому поводу.

Выводы
Миелома – заболевание, встречающееся не часто. К сожалению, вероятность полного выздоровления очень мала. Тем не менее, не нужно опускать руки и отказываться от борьбы за жизнь. Медицина не стоит на месте. Еще вчера такие пациенты не могли прожить и 2 лет, сегодня ремиссия при миеломе – уже обычное дело, а завтра у больных появятся шансы на полное излечение.
Вопрос-ответ
Сколько может длиться ремиссия при миеломе?
— P. 772-778. Высокодозная химиотерапия (ВХТ) с последующей аутологичной трансплантацией гемопоэтических стволовых клеток (ауто-ТГСК) позволяет достигать ремиссии у 90 % пациентов с множественной миеломой. К сожалению, длительность такой ремиссии не превышает 3 лет.
Можно ли добиться полной ремиссии?
Единственный проверенный способ добиться ремиссии — это принимать назначенные врачом препараты и вести здоровый образ жизни, который включает в себя сбалансированное питание и регулярную физическую активность.
Можно ли победить миеломную болезнь?
Миеломная болезнь неизлечима, однако современные методы терапии позволяют приостановить развитие процесса. Прогноз заболевания во многом зависит от стадии, на которой начато лечение. Наличие значительного количества различных генетических нарушений обусловливает высокую вариабельность течения болезни.
Как понять, что наступила ремиссия при онкологии?
Стадия ремиссии определяется при обследовании: обычно его результаты показывают, что в организме человека больше нет раковых образований или их распространение прекратилось. Проверяется это с помощью анализов крови, визуальной диагностики больного, а также аппаратных исследований (КТ, рентген, УЗИ и другие).
Советы
СОВЕТ №1
Регулярно проходите медицинские обследования и следите за показателями здоровья. Это поможет вам вовремя выявить изменения в состоянии и скорректировать лечение при необходимости.
СОВЕТ №2
Соблюдайте здоровый образ жизни, включая сбалансированное питание и физическую активность. Правильное питание и умеренные физические нагрузки могут укрепить иммунную систему и улучшить общее состояние организма.
СОВЕТ №3
Обсуждайте с врачом все возможные варианты лечения и поддерживающей терапии. Индивидуальный подход к лечению может значительно повысить шансы на достижение ремиссии.
СОВЕТ №4
Поддерживайте эмоциональное здоровье, участвуя в группах поддержки или обращаясь к психологу. Психологическая поддержка может помочь справиться с эмоциональными трудностями, связанными с заболеванием.



