По известным статистическим, данным глиома зрительного нерва занимает третью часть всех возможных опухолей глазницы. Заболевание представляет собою опухолевое образование, которое начинает развиваться из глиальных составляющих зрительного нерва.
Особенности и опасность глиомы зрительного нерва
Поражена глиомой может быть любая часть зрительного нерва. Разрастание ее направлено по ходу этого нерва, а прогрессирование образования возможно даже в черепную область. Она бывает интраорбитальная (расположенная в границах глазницы), интракраниальная (в области черепа зрительного нерва) и глиома харизмы (в районе зрительного перекреста). Глиома харизма – самая опасная разновидность этих опухолей, приводящая к летальному исходу.
Врачи отмечают, что глиома зрительного нерва является редким, но серьезным заболеванием, которое требует внимательного подхода к диагностике и лечению. Специалисты подчеркивают важность раннего выявления симптомов, таких как ухудшение зрения или изменения в глазном дне. Врачи рекомендуют проводить регулярные обследования у офтальмолога, особенно для детей, так как глиомы чаще встречаются в детском возрасте. Лечение может включать хирургическое вмешательство, радиотерапию и химиотерапию, в зависимости от стадии и распространенности опухоли. Мнения врачей сходятся на том, что мультидисциплинарный подход, включающий неврологов, онкологов и радиологов, является ключевым для достижения наилучших результатов в лечении пациентов с данной патологией.

Клиническая картина и патогенез
Основой зрительного нерва считают аксоны, которые постоянно окружены глиальными клетками, занимающимися выработкой миелина, а также способствующими обмену веществ и поддержке функционирования этого нерва. Именно эти клетки и провоцируют появление глиомы зрительного нерва, способной начинать свое развитие из астроцитов или олигодендроглиоцитов. В период развития глиома врастает в ткани нервного ствола. Когда опухоль растет и становится внушительных размеров, может полностью нарушится функционирование глаз и нервов. Внутри опухолевых образований также возможна локализация кистозных образований.
Помимо самих глиом выделяют еще такое заболевание, как глиоматоз. Этому явлению характерен рост в размере глиальных клеток, при котором количество глий будет оставаться неизменным. Некоторые врачи утверждают, что глиоматоз – это первая ступень начинающейся глиомы зрительного нерва. Поэтому немаловажно своевременно провести диагностику и принять необходимые меры, чтобы не запустить развитие болезни.
Точные причины развития опухоли
До сегодняшнего времени не определено однозначных причин, провоцирующих появление заболевания. Однако по большей части оно начинает развиваться в одно время с нейрофиброматозом 1 типа, начальным этапом которого считается глиоматоз.
Кто в факторе риска?
Риск появления глиомы зрительного нерва существует у каждого человека. Зачастую заболевание появляется у маленьких детей, но бывают случаи, когда опухоль диагностируют и у взрослых.
Глиома зрительного нерва — это редкое, но серьезное заболевание, которое вызывает много обсуждений среди пациентов и их близких. Люди, столкнувшиеся с этой проблемой, часто делятся своими переживаниями и опытом лечения. Многие отмечают, что симптомы, такие как ухудшение зрения и изменения в восприятии цветов, могут проявляться постепенно, что затрудняет диагностику. Важно, что пациенты подчеркивают необходимость раннего обращения к специалистам, так как это может существенно повлиять на исход лечения.
Среди обсуждений также звучат истории о поддержке со стороны семьи и друзей, что играет ключевую роль в процессе борьбы с болезнью. Некоторые пациенты делятся положительными примерами успешного лечения и реабилитации, что вселяет надежду в других. В то же время, многие выражают страх перед неопределенностью и возможными последствиями заболевания. Обсуждения на форумах и в социальных сетях помогают людям находить поддержку и обмениваться полезной информацией, что делает их путь к выздоровлению менее одиночным.

Первые признаки глиомы зрительного нерва
На первоначальном этапе заболевание в основном не имеет ярко выраженной симптоматики, поэтому достаточно сложно провести ее своевременную диагностику. К первым признакам ее появления относится падение зрения, что редко бывает замеченным, когда опухоль прогрессирует у маленького ребенка. Если глиома зрительного нерва начинает активно расти, появляются скотомы и зрение начинает резко падать, возможно даже человек полностью потеряет зрение.
Зрелые симптомы
К симптоматике, характерной уже зрелой глиоме зрительного нерва, относят экзофтальм, при котором глазное яблоко смещается в сторону из-за наличия в опухоли кистозного образования, или же вследствие очень активного ее роста. Этот симптом зачастую и приводит к тому, что родители приводят ребенка к врачу. Визуально можно увидеть, что глазное яблоко стало не таким подвижным. Глазная щель может не закрываться до конца, что провоцирует пересушивание роговицы и появление на ней язвочек или кератина. Если вовремя не оказать больному помощь, такая запущенная опухоль закончится полнейшим истончением роговицы и утратой самого глаза.
Глиома, которая располагается в черепной области зрительного нерва, не влечет за собой экзофтальм. Такой симптом заболевания возможен только когда опухоль активно разрастается и начинает прорастать в глазницу.

Что включает в себя диагностика заболевания?
Основой для определения глиомы зрительного нерва считаются клинические исследования, результаты проверки функционирования зрения, данные, полученные после рентгенографии и КТ. Первым специалистом, к которому приходят за помощью люди для проведения диагностики является офтальмолог. Этот врач занимается оценкой остроты зрения, определяет насколько оно снижено и имеются ли на глазницах скотомы.
Какие анализы обычно назначают?
Для того, чтобы можно было четко определить наличие глиомы, требуется взять биопсию тканевых проб, чтобы провести гистологическое исследование.
Какие обследования нужно будет пройти?
Обязательно проводится офтальмоскопия, но на первоначальных стадиях появившейся опухоли она не всегда выявляет имеющиеся изменения в глазу. Когда заболевание уже начинает прогрессировать, при помощи офтальмоскопии определяют, имеются ли отклонения, которые характерны вторичной атрофии зрительного нерва или тромбозу центральной вены сетчатки глаза. Если глиома интракраниальная, у человека вероятнее всего присутствует первичная атрофия зрительного нерва и все ее сопутствующие симптомы.
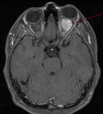
Очень важно при постановке диагноза отличить глиому от минингиомы. Самым точным исследованием, позволяющим безошибочно определить наличие глиомы даже на первоначальной стадии, является проведение КТ головного мозга. Оно позволяет провести визуализацию утолщения зрительного нерва, определить степень активности распространения опухоли и ее прорастания в черепную область. Если не представляется возможности пройти компьютерную томографию, тогда человека направляют на рентгенографию черепной области и орбиты.
Схема лечения
Безоперационная терапия глиомы зрительного нерва возможна методом ее облучения. В основном, лучевая терапия способствует остановке роста опухоли и улучшает зрение, если специалисты определили ее на первоначальном этапе. Если функции зрения в процессе разрастания глиомы очень быстро ухудшаются – это экстренное показание к проведению срочного хирургического вмешательства.
Хирургическую коррекцию глиомы зрительного нерва осуществляют офтальмоонкологи и хирурги-офтальмологи. Предстоит тяжелая операция или нет, напрямую зависит от того, насколько обширно успела разрастись опухоль. Удаляются глиомы маленьких размеров зачастую путем орбитотомии и удаления участка зрительного нерва, на котором она локализовалась. Распространение опухоли до склерального кольца – весомый повод к проведению энуклеации глазного яблока. Самым подходящим вариантом считается энуклеация с созданием опоры, необходимой для возможности проведения протезирования глаза. Когда опухоль интракраниальная, то целесообразность коррекции хирургическим путем определяется специалистами. Делают ее так же, как и устранение любого образования, дислоцирующегося в головном мозге.
Осложнения, которые могут возникнуть, если не лечить глиому зрительного нерва
Если не проводить необходимую терапию, заболевание может перейти в амавроз (поражение сетчатки глаза или зрительного нерва, провоцирующее частичную утрату или полное лишение зрения) или же распространиться до зрительного перекреста, приведя к летальному исходу. Поэтому, самостоятельные попытки лечения или полное его отсутствие могут быть очень опасны для жизни и здоровья человека.
Последствия неправильного лечения
Если лечение, которое назначат вам специалисты, будет некорректным, последствия будут не утешительными. Возможна как частичная потеря зрения, так и полная слепота, удаление глаза или же разрастание опухоли, в некоторых случаях приводящее к летальным исходам. Поэтому очень важно со всей ответственностью отнестись к выбору клиники и специалиста, который будет осуществлять терапию глиомы зрительного нерва.
Прогноз и сколько живут такие пациенты?
При несвоевременном обращении к специалистам заболевание, приводит к полному лишению зрения. При интраорбитальных глиомах первоочередной задачей во время терапии считается сохранность глаза. Если была проведена корректная терапия, прогнозы для жизни зачастую положительные. При интракраниальных глиомах прогнозы зависимы от степени активности развития опухоли и вовремя начатой терапии.
Если вы заметили симптоматику, схожую глиоме зрительного нерва – не стоит откладывать визит к специалистам, проведение диагностики заболевания и его лечение. Не стоит подвергать риску свое здоровье и жизнь. Чем раньше диагностирована опухоль – тем выше шансы ее устранения без последствий для зрения.
Вопрос-ответ
Что такое глиома зрительного нерва?
Глиома зрительного нерва — это редкая опухоль, которая развивается в зрительном нерве и может привести к потере зрения. Она возникает из-за разрастания вспомогательных клеток (глиальных), которые окружают нерв и поддерживают его работу.
Излечима ли глиома зрительного нерва?
Хирургическое удаление опухоли может привести к излечению некоторых глиом зрительного нерва. Во многих случаях возможно частичное удаление опухоли для уменьшения её размера. Это предотвратит повреждение опухолью окружающих её нормальных мозговых тканей. У некоторых детей может применяться химиотерапия.
Как долго живут с глиомой?
Если образование обладает высокой степенью злокачественности, около половины больных умирают за год. Другие 25 процентов — в течение двух лет. После удаления доброкачественной глиомы I степени в 80 процентах случаев продолжительность жизни составляет более пяти лет.
Что такое глиома зрительного нерва у детей?
Глиома зрительного нерва – это доброкачественная опухоль, которая развивается из клеток нейроглии (вспомогательные клетки нервной системы, которые образуют оболочку для нервных волокон). Глиома растет медленно и очень редко может угрожать жизни ребенка.
Советы
СОВЕТ №1
Регулярно проходите обследования у офтальмолога. Раннее выявление изменений в зрительном нерве может помочь в диагностике глиомы на ранних стадиях, что значительно увеличивает шансы на успешное лечение.
СОВЕТ №2
Обратите внимание на любые изменения в зрении, такие как размытость, двоение или потеря периферического зрения. Не игнорируйте эти симптомы и немедленно обращайтесь к врачу для дальнейшего обследования.
СОВЕТ №3
Изучите информацию о возможных методах лечения глиомы зрительного нерва, включая хирургическое вмешательство, радиотерапию и химиотерапию. Обсудите с врачом, какой подход будет наиболее эффективным в вашем случае.
СОВЕТ №4
Поддерживайте здоровый образ жизни, включая сбалансированное питание и регулярные физические нагрузки. Это может помочь укрепить иммунную систему и улучшить общее состояние здоровья, что важно при борьбе с онкологическими заболеваниями.



