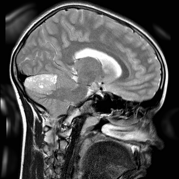
Рак головного мозга у детей – это злокачественная опухоль, которая развивается из клеток мозговой ткани. Ему характерно инфильтрационный рост (врастание патологически измененных клеток в близлежащие ткани органа) и образование метастазов (распространение мутированных клеток по всему организму через лимфатические и кровеносные сосуды).
Опухоли головного мозга у детей
Существует два наиболее распространенных типа опухоли головного мозга у детей:
Врачи подчеркивают, что рак головного мозга у детей остается одной из наиболее сложных и тревожных проблем в педиатрической онкологии. Специалисты отмечают, что ранняя диагностика играет ключевую роль в успешном лечении. Симптомы, такие как головные боли, изменения в поведении и неврологические нарушения, могут быть признаками серьезных заболеваний, и их нельзя игнорировать. Врачи рекомендуют родителям быть внимательными к изменениям в состоянии здоровья детей и не откладывать визит к специалисту. Современные методы лечения, включая хирургическое вмешательство, химиотерапию и радиотерапию, значительно улучшили прогноз для многих пациентов. Однако, несмотря на достижения медицины, важно помнить о необходимости комплексного подхода к лечению и реабилитации, который включает поддержку семьи и психологическую помощь.

І. Глиомы.
Это опухоли глиомы мозга, которые бывают:
- Астроцитомы.
Астроцитомы являются наиболее распространенным видом глиомы. Этот вид опухоли развивается из глиальных клеток (астроцитов). Астроцитомной опухолью в основном поражаются дети в возрасте 5-8 лет. Она может быть медленнорастущей и быстрорастущей (80% случаев).
Четыре разновида астроцитом:
- Ювенальная волосовидная астроцитома – это медленно растущая опухоль, которая наиболее часто диагностируется у детей. Патологический процесс локализуется в мозжечке и сопровождается образованием кистозной полости. Единственным способом лечения данного вида детской онкологии считается хирургическое удаление онкологического новообразования.
- Фибриллярная астроцитома – это патология головного мозга, которая врастает в здоровые церебральные ткани, что существенно осложняет проведение оперативное удаление опухоли. Фибрилярное новообразование может вызывать судороги у детей.
- Анапластическая астроцитома – это злокачественный процесс мозга, симптомами которого является общая слабость, нарушение ходьбы и потеря чувствительности.
- Глиобластома мозга – это самый злокачественный разновид астроцитомы. Развитие опухоли сопровождается увеличением давления в головном мозге.
- Глиомы ствола головного мозга.
Стволовой рак головного мозга у детей локализуется в стволовой части мозга, где сходятся нервные пути от головного к спинному мозгу. Большинство опухолей размещаются на середине мозгового ствола и поддаются хирургическому лечению.
Стволовые раковые опухоли встречаются исключительно у детей школьного возраста. Ребенок, как правило, ощущает двоение в глазах, нарушения движения головы и одной половины тела и не имеет повышенного внутричерепного давления.
- Эпендимомы.
Развиваются у основания мозговых желудочков. Опухоль часто блокирует поток спинномозговой жидкости, которая омывает головной и спинной мозг. Этот процесс вызывает резкое увеличение внутричерепного давления. Характерными особенностями эпендимом является медленный рост и частые рецидивы.
4. Глиомы зрительного нерва.
Размещается вокруг нерва, который проводит нервные импульсы от глаз к центральной нервной системы. Эта опухоль головы у новорожденного почти во всех случаях прогрессирует в сочетании с нейрофиброматозом. Злокачественное новообразование зрительного нерва вызывает полную потерю зрения и может послужить первопричиной развития рака глаз у детей.
ІІ. Медуллобластома.
Медуллобластома – это злокачественная опухоль с очень быстрым процессом роста. Новообразование развивается из тканей мозжечка. Опухоль преимущественно поражает мальчиков в возрасте 4-9 лет. Медуллобластическое новообразование очень часто метастазирует в спинной мозг.
После проведения микроскопических исследований врачи различают две формы такого злокачественного процесса: классическая (встречается в 80% случаев заболевания) и десмопластическая (благоприятный долговременный прогноз в связи с тем, что патологические клетки десмопластической медуллобластомы поддаются лечению химиотерапией и лучевой терапией).
Классификация опухолей головного мозга в зависимости от первичного очага новообразования:
- Первичные. Онкологический процесс возникает в тканях головного мозга. Опухоль характеризуется медленным ростом и крайне редко образовывают метастазы.
- Вторичные. Поражение мозга возникает в следствии метастазирования злокачественного новообразования, находящегося в другом органе человека.
Рак головного мозга у детей — это тема, которая вызывает много эмоций и обсуждений среди родителей, врачей и общественности. Многие родители, столкнувшись с этой болезнью, делятся своими переживаниями и страхами. Они говорят о том, как важно вовремя заметить симптомы, такие как головные боли, изменения в поведении или проблемы с координацией. Врачи подчеркивают, что ранняя диагностика может значительно повысить шансы на успешное лечение. Обсуждаются также различные методы терапии, включая химиотерапию и радиотерапию, которые могут быть сложными, но необходимыми. Сообщества поддержки играют важную роль, помогая семьям справляться с эмоциональными и практическими трудностями. Важно, чтобы общество было информировано о данной проблеме и поддерживало исследования в этой области, чтобы улучшить качество жизни детей и их семей.

Опухоль головного мозга у детей – лечение
Основным методом лечения злокачественной опухоли мозга является хирургическое удаление патологического очага. Операцию возможно осуществить для тех видов рака, которые допускают оперативное вмешательство. Определить точное происхождение мутированных клеток помогает биопсия, то есть прижизненное взятие образцов патологической ткани для проведения микроскопического исследования.
Вторым по частоте применения считается метод химиотерапии. Суть такого способа лечения заключается в внутривенном или пероральном введении противораковых препаратов. Фармацевтические средства, попав в организм человека, распространяются с помощью кровеносных и лимфатических сосудов по всему организму, уничтожая раковые клетки. Метод используется как дополнение к хирургическому лечению или как самостоятельное средство борьбы с онкологическим заболеванием в случаях невозможности проведения операции.
Опухоль головного мозга у детей также может подвергаться воздействию ионизующего облучения. Специальный аппарат излучает высокоэнергетические рентгеновские лучи через кожные покровы и костные структуры головного мозга. Такое излучение убивает мутированные клетки и уменьшает раковое поражение.
Вопрос-ответ

Какие признаки рака мозга у детей?
Признаки рака мозга у детей могут включать головные боли, которые часто усиливаются по утрам или ночью, рвоту, изменения в поведении или настроении, проблемы с координацией и равновесием, судороги, ухудшение зрения или слуха, а также замедление роста и развития. Если у ребенка наблюдаются такие симптомы, важно обратиться к врачу для диагностики.
В каком возрасте может быть рак головного мозга?
Опухоль головного мозга может появиться в любом возрасте, но риск возникновения опухоли головного мозга возрастает с возрастом. Большинство опухолей головного мозга возникает у людей от 45 лет и старше.
Как болит голова при опухоли у ребенка?
Ребенок испытывает сильные приступообразные головные боли, которые появляются без видимых причин. Они сочетаются с головокружением, мельканием мушек перед глазами. Интенсивность ощущений изменяется в зависимости от положения головы.
Советы
СОВЕТ №1
Обратите внимание на симптомы. Рак головного мозга у детей может проявляться различными симптомами, такими как головные боли, рвота, изменения в поведении или координации. Если вы заметили у ребенка необычные изменения в здоровье, не откладывайте визит к врачу.
СОВЕТ №2
Регулярно проходите медицинские осмотры. Регулярные осмотры у педиатра помогут выявить возможные проблемы на ранней стадии. Обсуждайте с врачом любые беспокойства относительно здоровья вашего ребенка.
СОВЕТ №3
Поддерживайте открытое общение с ребенком. Обсуждайте с ним его чувства и переживания. Это поможет не только в выявлении симптомов, но и в поддержании эмоционального состояния ребенка в случае болезни.
СОВЕТ №4
Изучите информацию о лечении и поддержке. Если диагноз подтвержден, ознакомьтесь с доступными вариантами лечения и поддерживающими программами. Это поможет вам и вашему ребенку лучше справиться с ситуацией и принять обоснованные решения.



