Гингивит – это заболевание у детей, связанное с воспалением десны. Обычно оно возникает под действием неблагоприятных факторов. У детей этот недуг встречается достаточно часто, обычно большее число воспалений приходится на возраст 13 лет. Зачастую более серьезных осложнений болезнь за собой не влечет, поскольку ее можно легко вылечить, при этом избежав серьезных проблем.
Факторы риска
Гингивит – это болезнь, которая может проявиться совершенно спонтанно, поэтому подвержен ей любой человек. Встречаются случаи, когда заболевание настигает подростков в период полового созревания организма, и в дальнейшем заболевание может оставаться до глубокой старости.
Основной фактор риска: недостаточный уход за полостью рта, но есть и другие моменты, связанные с низким иммунитетом, курением, вредными привычками. В качестве результата таких действий наблюдается снижение иммунитета, и в дальнейшем, если продолжать эту привычку, то могут возникать проблемы с лечением болезни.
Врачи отмечают, что гингивит у детей является распространенной проблемой, которая часто возникает из-за недостаточной гигиены полости рта. Педиатры и стоматологи подчеркивают важность регулярной чистки зубов и использования зубной нити, начиная с появления первых зубов. Они предупреждают, что игнорирование симптомов, таких как покраснение и кровоточивость десен, может привести к более серьезным заболеваниям. Врачи рекомендуют родителям проводить профилактические осмотры у стоматолога не реже двух раз в год. Также важно обучать детей правильным привычкам ухода за зубами с раннего возраста, чтобы предотвратить развитие гингивита и других стоматологических заболеваний.

Причины возникновения
Гингивит у детей может возникать под действием многочисленных факторов, и влияние этих факторов на незрелую ткань десен очень велико.
Возникновение заболевания нередко сопровождается снижением иммунитета, а также сопротивляемости организма
. В результате таких процессов организм начинает аллергически реагировать на возбудители, а также наблюдаются нарушения работы желудочно-кишечного тракта.
Есть несколько факторов, которые наиболее часто провоцируют возникновение и развитие данного недуга у детей:
- Микробы. Обычно, в 90% случае, наличие данного заболевания вызвано микробной флорой желтого налета, а также зубным камнем. Если ребенок не умеет чистить зубы и делает это неаккуратно, то появляются токсины, влекущие за собой воспалительный процесс.
- Механические травмы. При этом явлении происходят различные нарушения в области слизистой оболочки полости рта – это прикусывание, царапины, ожоги и порезы, в результате таких явлений также может возникать воспалительный процесс. Для профилактики таких явлений родители должны следить за тем, чтобы ребенок не играл с острыми предметами.
- Биологические агенты. Например, если у ребенка наблюдается кариес молочных или постоянных зубов, то вероятность развития заболевания становится намного больше, поэтому важно принять меры по профилактике кариеса.
- Нагрузки на челюсть и зубы – вялое жевание или жевание пищи с одной стороны также может привести к развитию данного недуга.
- Прорезывание зуба, которое длится очень долго, также приводит к гингивиту. При чистке зубов ребенок может испытывать неприятные болевые ощущения, в результате микробы в полости рта накапливаются, что приводит к развитию воспалительного процесса.
Таким образом, есть достаточно много причин, которые влекут за собой образование данного заболевания.
Виды
Форма заболевания может быть несколько – в частности – можно рассмотреть хроническую и острую. Первая у детей может возникать, но это бывает достаточно редко, обычно ей подвержены взрослые люди. Для обострения заболевания подходят такие поры года, как зима и весна, зубы начинают кровоточить, на зубной щетке наблюдаются выделения.
Если своевременно не вылечить острый гингивит, это может приводить к развитию хронического заболевания.
Гингивит у детей — это проблема, о которой говорят многие родители. Часто они замечают, что у ребенка появляется кровоточивость десен, неприятный запах изо рта или покраснение. Многие родители связывают эти симптомы с недостаточной гигиеной, однако важно понимать, что гингивит может возникать и по другим причинам, таким как неправильное питание или аллергические реакции. Важно вовремя обратиться к стоматологу, чтобы избежать осложнений. Некоторые родители делятся опытом, что регулярные визиты к стоматологу и обучение детей правильной гигиене полости рта помогают предотвратить развитие заболевания. Также многие отмечают, что использование специальных детских зубных паст и щеток делает процесс ухода за зубами более увлекательным для детей.

Признаки и симптомы
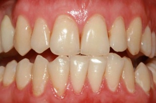
Основным и самым первым признаком гингивита является не что иное, как кровоточивость десен. Это говорит о том, что воспалительный процесс начался, однако данный признак зачастую не замечен родителями, и ребенок попадает к специалисту уже на том этапе, когда воспаление взяло силу над полостью рта и является наиболее активным.
Обычно сильное воспаление сопровождается отеком десен, которые становятся ярко-красными, а также появляется неприятный запах изо рта, боль. Иногда температура тела может незначительно повышаться.
Хроническая форма гингивита обычно протекает вяло, ребенок может не жаловаться на боль, но именно из-за нее может отказаться от чистки зубов.
Что касается конкретных признаков, характерных для того или иного заболевания, то они различаются в зависимости от разновидности болезни:
- Катаральный гингивит появляется в результате травмы слизистой оболочки, а также может выступать в качестве одного из симптомов аллергии. Чаще всего данная форма встречается в процессе, когда молочные зубы прорезаются и сменяются на постоянные.
- Язвенный гингивит может провоцироваться наличием инфекционного процесса, а также переохлаждения. Он может возникать тогда, когда ребенок провел слишком много времени на прогулке и заразился от своих друзей инфекцией.
Чаще всего язвенный гингивит развивается как усугубление катаральной формы заболевания, которая не была своевременно и качественно вылечена. Основной симптом заключается в кровоточивости десен, боли и зуда. Далее может появляться отек, покраснения и участки с небольшими язвами.
Если на данной стадии не принять меры по лечению, то последуют более серьезные формы с такими симптомами, как серо-зеленый налет, неприятный запах изо рта, налет, вязкая слюна.
- Гипертрофический,обычно наблюдается в период полового созревания у детей – в качестве симптомов можно выделить разрастание ткани, которая частично закрывает коронки зубов.
- Атрофический проявляется при неправильном лечении других форм заболевания. Данная форма носит локализованный характер. При таком процессе воспаление не имеет четкой выраженности, цвет десен практически остается неизменным, ребенок не жалуется на боль.
Таким образом, каждый вид заболевания имеет свои признаки проявления, который важно принимать во внимание.
Осложнения
Если говорить про основные осложнения, вызванные гингивитом, то можно отметить более серьезные заболевания полости рта вплоть до выпадения зубов. Для того чтобы можно было избежать эту проблему, рекомендуется проводить профилактические меры и обеспечить качественный уход за полостью рта.

Диагностика и обследования
Диагностика заболевания проходить после визуального и инструментального осмотра. Дополнительного проведения определенных мероприятий в данном случае не требуется.
Однако для того чтобы выявить основную причину заболевания, специалист должен опросить пациента на предмет жалоб. Обследование может проводить пародонтолог, до того как не будет выявлено заболевание, лечение проводится местно.
Неотложная первая помощь
Если возникает обострение гингивита, необходимо дать ребенку специальные растворы для полоскания полости рта. Затем срочно обратиться к врачу «по острой боли», который должен принять незамедлительно. Во избежание таких случаев рекомендуется своевременно проходить лечение и обеспечить полную профилактику заболевания.
Лечение гингивита
Лечение данного недуга заключается в том, чтобы устранить зубной налет, а также избавить ребенка от всевозможных факторов, которые вызывают заболевание.
Основным компонентом, применяемым в лечении гингивита у детей, выступает не что иное, как мотивацию пациента к соблюдению гигиены полости рта на достойном уровне. Для того чтобы все было сделано грамотно, стоматолог должен подобрать для ребенка индивидуальные средства гигиены, а также обучить его чистке зубов.
Помимо домашней гигиены полости рта, пациент должен удалить все виды осложнений, которые могут возникать на зубах. Содержание и количество курсов очистки полости рта опять же определяется специалистом в индивидуальном порядке.
Вместе с механической чисткой полости рта от микробов может применять удаление микробного налета с помощью терапии, направленной на устранение микробов. Для этого в виде полосканий применяются специальные растворы, некоторые из них могут быть в составе зубных паст. Если сам пациент будет активно принимать участие в профилактических и лечебных мероприятиях, то прогноз дальнейшего развития ситуации будет самым благоприятным.
Практика лечения
Лечением заболевания занимается стоматолог или пародонтолог. Самое главное, что требуется от родителей детей с гингивитом – своевременное обращение к специалисту, это позволит избежать осложнений в дальнейшем времени.
Есть ряд лечебных мероприятий, направленных на устранение заболевания:
- Удаление отложений – данная процедура не причиняет пациенту никакой боли, а также проводится стоматологом, который снимает отложения с использованием специальных щеток.
- Терапия, направленная на устранение воспалительного процесса. Для снятия подобных симптомов гингивита (отечность, кровоточивость, боль), необходимо провести терапию, направленную на снятие воспаления. Для этого обычно делаются специальные полоскания.
Имеется специальный список рекомендуемых препаратов:
- Настои трав, только не спиртовые. Для таких целей хорошо подойдет ромашка, шалфей.
- Мирамистин может приниматься детьми от 3-х лет.
- Хлоргексидин – представляет собой процедуры полоскания на протяжении 40 секунд 2 раза в день.
Кроме того, в практике лечения наносятся мази и кремы против воспаления, которые смягчают течение заболевания и устраняют боль. Если своевременно не принять меры по устранению налета и улучшению самочувствия, то терапия может вызвать:
- Новые симптомы, более острые. В процессе терапии они могут уменьшаться или вовсе пропадать, однако по окончании терапии все может вернуться.
- Острая форма болезни может стать хронической, и все заканчивается развитием пародонтита у ребенка.
Помимо этого, имеется еще несколько мероприятий, направленных на устранение гингивита у детей:
- Очищение полости рта, лечение всех зубов с кариесом;
- Контроль гигиены полости рта ребенка.
Прогноз и профилактика
Для того чтобы избежать возникновения данного заболевания у вашего ребенка, необходимо следовать определенным правилам:
- Регулярно проходить прием у врача стоматолога;
- Следить за тем, чтобы ребенок регулярно делал процедуры касательно гигиены полости рта;
- Соблюдать определенный режим питания. Например, рекомендуется избегать перекусываний между приемами пищи, а также ограничить ребенка в употреблении сладких напитков, конфет и печенья. Эти углеводы могут быть получены малышом только после еды, а после их приема нужно сразу же почистить зубы.
При соблюдении основных мер профилактики можно будет без труда избежать развития данного заболевания, и ваши дети могут чувствовать себя намного лучше.
Что касается прогноза гингивита, то он очень благоприятный, только есть единственное условие: сам пациент должен принимать участие в процессе лечения. Убедите ребенка в том, зачем необходимо делать все процедуры, если его заставлять – он не послушает, если объяснить, зачем это нужно, то он сам захочет как можно скорее избавиться от болезни.
Выводы
Таким образом, гингивит – это заболевание, связанное с наличием воспалительного процесса в ротовой полости. Избежать его возникновения можно, если соблюдать все меры профилактики. Если же этот недуг настиг вашего ребенка, рекомендуется направить все усилия на его лечение, только в таком случае можно прийти к полному выздоровлению.
Все формы заболевания могут проявлять себя по-разному, однако к лечению применяется общий подход, направленный на устранение некоторых недугов, которые наблюдаются в здоровье малыша.
Вопрос-ответ
Как понять, что у ребенка гингивит?
Отек десныпокраснение десныдесна легко кровоточит при чистке зубовжалобы на неприятные ощущения или боль при чистке зубовнеприятный запах изо ртачувствительность к горячей и холодной пище, напиткамдискомфорт при пережевывании пищи.
Чем быстро вылечить гингивит?
Асепта. Средство поможет справиться с кровоточивостью и устранить боль. Метрогил Дента. Противомикробное лекарство с антибактериальным и антисептическим средством в составе. Солкосерил. Помогает регенерации поврежденных тканей. Холисал. Обезболивающее и противомикробное средство.
Чем можно быстро снять воспаление десны у ребенка?
Стоматологические гели и растворы для полоскания Растворы для полоскания на основе фурацилина, хлорофилла, лекарственных растений – ротокан, стоматофит, хлорофиллипт. Специальные стоматологические гели, обогащённые противовоспалительными компонентами, например прополисом, также помогут снять воспаление дёсен.
Отчего бывает гингивит?
Возникает при недостаточной гигиене, но чаще всего – при наличии других заболеваний, которые вызывают ослабление иммунитета (частые ангины, грипп, а также как сопутствующее заболевание при туберкулезе и СПИДе). Гипертрофический гингивит сопровождается разрастанием ткани на фоне воспалительного процесса.
Советы
СОВЕТ №1
Регулярно проверяйте состояние полости рта вашего ребенка. Обратите внимание на любые изменения, такие как покраснение или отек десен, а также на наличие неприятного запаха изо рта. Раннее выявление гингивита поможет предотвратить его прогрессирование.
СОВЕТ №2
Обучите ребенка правильной гигиене полости рта. Убедитесь, что он чистит зубы дважды в день с использованием фторсодержащей зубной пасты и использует зубную нить для удаления остатков пищи между зубами. Это поможет снизить риск развития гингивита.
СОВЕТ №3
Следите за диетой вашего ребенка. Убедитесь, что он получает достаточное количество витаминов и минералов, особенно витамина C, который важен для здоровья десен. Ограничьте потребление сладостей и кислых продуктов, которые могут способствовать развитию воспаления.
СОВЕТ №4
Регулярно посещайте стоматолога для профилактических осмотров и профессиональной чистки зубов. Стоматолог сможет выявить ранние признаки гингивита и предложить соответствующее лечение, если это необходимо.





