Как и большинство других заболеваний полости рта, гингивит чаще всего развивается из-за неправильной или недостаточной гигиены. То есть, только от самого человека зависит, узнает ли он, что это такое на собственном опыте.
Мы же постараемся, чтобы вы это узнали на чужом.
Гингивит – это одно из наиболее распространенных заболеваний полости рта. В этом случае воспалительному процессу подвергаются десны. При этом вначале другие органы и ткани не затрагиваются. Но если его не начать своевременно лечить, воспаление может привести к более тяжелым и потенциально опасным заболеваниям: пародонтозу, пародонтиту, пульпиту. А они уже могут привести к потере зубов.
Поэтому не стоит считать гингивит чем-то несерьезным, откладывая поход к стоматологу и начало лечения.
Причины проявления
Как уже было сказано, в большинстве случаев это заболевание развивается при несоблюдении банальных правил гигиены полости рта. Но, одновременно с этим, есть и другие провоцирующие факторы:
- Дисбактериоз полости рта.
- Бактериальные и вирусные заболевания органов дыхания и полости рта.
- Гормональные сбои.
- Язвенные заболевания ЖКТ.
- Возраст до 7 лет.
- Период прорезывания зубов.
- Некоторые аллергические заболевания.
- Нехватка в рационе витаминов, особенно – витамина С.
- Подростковый период.
- Беременность.
- Сахарный диабет.
- Лучевая и химиотерапия.
- Механические, термические и химические повреждения слизистой полости рта.
- Неудачно установленные, в особенности, нависающие над десной пломбы и коронки.
- Ротовое дыхание.
- Курение.
- Недостаточный уровень образования слюны.
Но все же, в большинстве случаев причиной становится именно скопление зубного налета, который представляет собой отличную среду для различных бактерий.
Врачи единодушны в том, что гингивит является одним из самых распространенных заболеваний полости рта, и его основная причина – недостаточная гигиена. Неправильная чистка зубов, нерегулярное использование зубной нити и отсутствие профессиональной гигиенической чистки приводят к накоплению зубного налета, который вызывает воспаление десен. Специалисты подчеркивают, что на ранних стадиях гингивит может проявляться лишь легким покраснением и кровоточивостью десен, однако без должного внимания он может перерасти в более серьезные заболевания, такие как пародонтит. Врачи рекомендуют уделять внимание ежедневной гигиене полости рта, включая регулярные визиты к стоматологу, чтобы предотвратить развитие гингивита и сохранить здоровье зубов и десен. Профилактика и своевременное лечение – ключевые факторы в борьбе с этим заболеванием.

Формы и виды
Как и любые воспалительные заболевания, гингивит имеет две формы: хроническую и острую. Но, одновременно с этим, можно выделить несколько более редких:
- Язвенный гингивит. В большинстве случаев его появлению предшествуют перенесенные вирусные заболевания. Вначале он проявляется также как и острый гингивит, отечностью и покраснением десен, но постепенно десны приобретают синюшную окраску и начинают сильно кровоточить.
- Некротический гингивит. Одна из наиболее тяжелых и опасных форм этого заболевания, при которой межзубные сосочки начинают разрушаться. Некротические очаги покрыты черным или зеленоватым налетом, язык обложен, слюна вязкая, появляется гнилостный запах изо рта.
- Атрофический гингивит. При этой форме гингивита начинается атрофия межзубных сосочков, они постепенно уменьшаются, обнажая шейки зубов. Одно из её проявление – появление чувствительности к холодной или горячей пище.
- Гипертрофический гингивит. Обратная форма, которая чаще всего развивается у подростков. Она характеризуется патологическим разрастанием десневых сосочков. В начале она не вызывает какой-то обеспокоенности, но со временем может появиться боль и кровоточивость.
Несмотря на такое обилие форм, чаще всего возникает обычный гингивит с типичным набором симптомов.
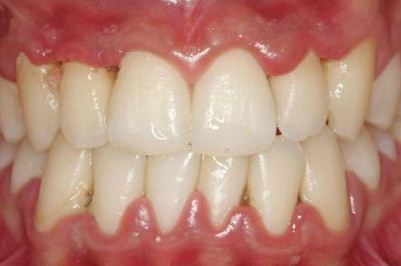
Симптомы гингивита у взрослых и детей
Это заболевание имеет ряд типичных симптомов, благодаря которым диагностировать его несложно. Чаще всего заболевание начинается с появления таких признаков:
- Покраснение десен.
- Отечность.
- Кровоточивость, особенно, при чистке зубов или пережевывании твердой пищи.
- Изменение формы десневых сосочков.
- Появление неприятного запаха изо рта.
- Болезненные ощущения в области десен.
Когда к врачу обращаются люди с подобными жалобами, поставить диагноз несложно. Поэтому уже с первого посещения врач сможет подобрать необходимое лечение.
Гингивит — это воспаление десен, которое часто становится следствием недостаточной гигиены полости рта. Многие люди не придают значения ежедневной чистке зубов и использованию зубной нити, что приводит к накоплению налета и образованию бактерий. В результате десны начинают кровоточить, становятся красными и отечными. Некоторые пациенты отмечают неприятный запах изо рта и чувствительность при приеме пищи. Многие не осознают, что запущенный гингивит может привести к более серьезным заболеваниям, таким как пародонтит, который угрожает утратой зубов. Регулярные визиты к стоматологу и качественная гигиена — ключевые факторы в профилактике этого недуга. Обсуждая гингивит, люди часто подчеркивают важность образования о правильном уходе за полостью рта и необходимости следить за состоянием десен.

Методы и средства лечения гингивита
В большинстве случаев лечение гингивита не составляет проблем. Для этого могут потребоваться следующие методы:
- Полоскание. Чаще всего рекомендуют начать с частых полосканий полости рта бактерицидными растворами, к примеру, хлоргексидином, или отварами трав (ромашка, календула, кора дуба).
- Мази и крема. Врач может порекомендовать использование местных заживляющих и бактерицидных кремов или мазей.
- Системные антибиотики. В некоторых, особо тяжелых случаях может быть порекомендован курс системных антибиотиков, необходимых, чтобы уничтожить первичную причину воспаления.
- Хирургическое лечение. Иногда прибегают к хирургическому удалению некоторых участков десневых сосочков. Чаще всего этот метод применяется при некротическом и гипертрофическом гингивите.
В большинстве случаев лечение гингивита проходит быстро и эффективно. Но главной задачей врача становится научить пациента самостоятельно ухаживать за ротовой полостью так, чтобы снизить вероятность появления новых приступов гингивита.
Профилактика болезни
Стоит отметить, что не существует специальных методов профилактики гингивита, все они так или иначе сводятся к соблюдению стандартных рекомендаций:
- Минимум дважды в день чистить зубы не менее чем 2 минуты.
- Зубная щетка должна быть достаточно жесткой, чтобы счистить накопившийся налет, но достаточно мягкой, чтобы не травмировать десна, особенно, во время их воспаления.
- После чистки зубов, ротовую полость следует дополнительно прополоскать специальной жидкостью.
- После приема пищи необходимо почистить зубы или хотя бы прополоскать их чистой водой. Существуют специальные пенки и другие средства, которые можно носить с собой и использовать после еды для устранения образовавшегося налета.
- По возможности следует пользоваться ирригатором полости рта, который лучше щетки прочищает межзубное пространство и придесневые карманы, вымывая из них кусочки пищи и скопившийся налет.
- Раз в один-два года следует проходить профессиональную чистку полости рта, снимая твердый налет и образовавшийся зубной камень.
- Необходимо регулярно проходить стоматологический осмотр и залечивать даже небольшие проявления кариеса.
Соблюдение этих требований ощутимо снизит вероятность появления не только гингивита, но и многих других стоматологических заболеваний.

Вопрос-ответ
Можно ли целоваться с гингивитом?
Гингивит может передаваться через контакт с зараженной слюной или кровью. Общие предметы, поцелуи, использование общей посуды или зубных принадлежностей с зараженным человеком могут способствовать передаче инфекции.
Можно ли чистить зубы при гингивите?
При гингивите проводят комплексную чистку зубов, которая включает ультразвук (снимает зубной камень), процедуру Air Flow (снимает зубной налет), обработку щеткой с пастой (полировка зубов).
Кто вызывает гингивит?
Гингивит, причиной развития которого является инфекционное поражение десен, вызывают различные вирусы, бактерии или грибки. В большинстве случаев возбудителями становятся особые виды стрептококков, актинобактерий, порфиромонад и бактероидов.
Как определить степень тяжести гингивита?
Выделяют легкую, среднюю и тяжелую форму, в зависимости от объема поражения десен. При легком течении воспалительный процесс затрагивает только межзубные сосочки. При средней степени тяжести поражается свободный край десны, а при тяжелом – воспаляются участки десен в месте их прикрепления к зубу.
Советы
СОВЕТ №1
Регулярно чистите зубы дважды в день. Используйте зубную пасту с фтором и мягкую щетку, чтобы эффективно удалять налет и предотвращать воспаление десен.
СОВЕТ №2
Не забывайте о зубной нити! Она помогает удалить остатки пищи и налет между зубами, где зубная щетка не может достать, что значительно снижает риск развития гингивита.
СОВЕТ №3
Посещайте стоматолога не реже двух раз в год для профессиональной чистки зубов и проверки состояния десен. Это поможет выявить проблемы на ранней стадии и предотвратить развитие гингивита.
СОВЕТ №4
Следите за своим питанием. Употребление продуктов, богатых витаминами C и D, а также кальцием, укрепляет десны и способствует их здоровью. Избегайте избыточного потребления сахара, который может способствовать образованию налета.



