Переломы костей требуют проведения комплексного лечения, включающего в себя хирургический остеосинтез и симптоматический прием медикаментозных препаратов. При поздней и нерациональной терапии у пациентов могут развиваться различные осложнения травм, среди которых, наиболее часто встречается формирование ложного сустава после перелома голени и других костей. Клинические проявления минимальны и включают в себя следующие признаки: болезненные ощущения при физической активности и патологическая подвижность конечности. Патология легко выявляется с помощью обычной рентгенограммы. Основной метод лечения – хирургический остеосинтез или пластика кости.
О заболевании
Пациенты, имеющие травматические повреждения костей скелета, должны знать, что такое ложный сустав и какие причины его возникновения существуют.
Ложный сустав – это вид патологии, характеризующийся возникновением точки движения в трубчатой кости там, где любая двигательная активность в норме не встречается.
Подобное осложнение наблюдаются у 3-5% всех пациентов с переломами костей. Наиболее часто, патологические суставы встречаются среди костей голени и предплечья. Реже, ложные сочленения развиваются в районе бедра и плечевой кости. У некоторых больных выявляются врожденные ложные суставы, представляющие собой аномалию развития костно-суставной системы.
Ложный сустав, или псевдартроз, представляет собой патологическое состояние, при котором происходит ненормальное сращение костей после перелома. Врачи отмечают, что это явление может возникать по различным причинам, включая недостаточное кровоснабжение, инфекции, неправильное лечение или чрезмерные нагрузки на поврежденную область. Специалисты подчеркивают, что ложный сустав может привести к хронической боли и ограничению подвижности, что значительно ухудшает качество жизни пациента. Лечение данного состояния часто требует хирургического вмешательства, направленного на восстановление нормального анатомического положения костей и их сращение. Врачи рекомендуют своевременно обращаться за медицинской помощью при подозрении на псевдартроз, чтобы избежать серьезных осложнений и ускорить процесс восстановления.
https://youtube.com/watch?v=47cAGYmhqgg
Причины возникновения
Основная причина формирования псевдосустава – предшествующий перелом кости, сопровождающийся нарушением процесса срастания костных фрагментов. Подобная патология наблюдается в тех случаях, когда между отломками костей остаются фрагменты мягких тканей, иммобилизация конечности продолжалась недостаточно долго, было местное нарушение кровотока или развитие инфекционного процесса.

- заболевания органов эндокринной системы, приводящие к нарушению метаболизма;
- тяжелые инфекционные процессы в организме;
- общие нарушения кровообращения;
- тяжелые травматические повреждения с образованием большого числа костных осколков;
- нарушенная иннервация поврежденной конечности.
Указанные факторы нарушают процесс нормальной регенерации костной ткани, замедляя ее. Это приводит к разрастанию между фрагментами кости соединительнотканных перемычек, которые постепенно заполняют все пространство. Формирование подвижной структуры приводит к изменению костей – на концах отломков появляется хрящевая ткань и формируются суставные структуры: капсула, синовиальная полость и жидкость.
Врожденные ложные суставные сочленения формируются у развивающегося плода в результате нарушенного питания или проблем с иннервациями конечностей. Не правильно сформированный фрагмент кости содержит небольшое количество костной ткани и замещается на соединительнотканное образование.
Разновидности патологии
Большое значение для подбора правильного лечения имеет определение варианта строения псевдоартроза у пациента. В клинической практике используется несколько классификаций. Наиболее важной из них является определение причины формирования суставного сочленения – приобретенная или врожденная патология.
Помимо этого, суставы могут различаться по своему строению. В зависимости от структур, которые входят в состав сочленения, выделяют:
- фиброзный ложный сустав с сохранением костной ткани. В этом случае наблюдается небольшая соединительнотканная прослойка между сохранившимися частями кости;
- истинные суставы содержат в себе все структуры суставного сочленения, включая в себя суставную капсулу, синовиальную жидкость и хрящевые поверхности;
- суставные сочленения с разрушением костного вещества.

- атрофические ложные суставы характеризуются постепенным истончением костной ткани фрагментов сломанной кости;
- нормотрофические сочленения не имеют каких-либо нарушений кровообращения и питания биологических тканей;
- гипертрофические изменения характеризуются разрастанием костной и соединительной ткани с формированием объемных структур.
Указанные классификации ложных суставов должны учитываться врачом при постановке диагноза и выбора оптимальной тактики лечения для конкретного пациента.
Ложный сустав — это состояние, при котором происходит неправильное сращение костей после перелома. Люди, столкнувшиеся с этой проблемой, часто описывают свои ощущения как постоянную боль и дискомфорт в области поврежденной кости. Многие отмечают, что несмотря на длительное время реабилитации, конечность не восстанавливает свою прежнюю функциональность. В разговорах можно услышать, что ложный сустав может возникнуть из-за недостаточной фиксации перелома или несоблюдения рекомендаций врача. Некоторые пациенты делятся опытом, как им пришлось проходить через дополнительные операции для устранения этой проблемы. Важно отметить, что своевременная диагностика и правильное лечение могут значительно улучшить прогноз и вернуть пациентам возможность вести активный образ жизни.
https://youtube.com/watch?v=9AnmMVQ5XeQ
Клинические проявления
Ложные суставы и несросшиеся переломы тесно связаны между собой, так как суставные сочленения формируются в местах нарушения целостности костей. В связи с этим, основная жалоба пациента – появление необычной подвижности в области конечности, например, в середине голени. Важно отметить, что если сегмент конечности состоит из двух костей (предплечье, сформированное лучевой и локтевой костью), а суставное сочленение сформировалось на одной из них, то подвижность может отсутствовать.
При надавливании на область патологического движения пациент может ощущать слабый болевой синдром, или же вовсе не чувствовать каких-либо неприятных ощущений. Боль возникает в тех случаях, когда конечность подвергается сильной нагрузке.
При формировании врожденного ложного сустава, у ребенка отмечается выраженная подвижность ноги или руки в необычном месте. Очень часто, патология выявляется в том момент, когда малыш начинает активно ползать, ходить или брать предметы в руки.
Диагностические мероприятия

Важно отметить, что если перелом кости был совсем недавно, то патологическая подвижность в конечности может быть связано с тем, что костная ткань просто медленно срастается и больному требуется дополнительное время с иммобилизацией. Если же перелом был давно, то говорят о ложном суставе.
Иногда докторам сложно провести границу между замедленной консолидацией и формированием псевдосустава.
Однако подобное деление позволяет отобрать тех пациентов, у которых еще имеются шансы на сращение костных фрагментов, не подвергая их дополнительным хирургическим вмешательствам.
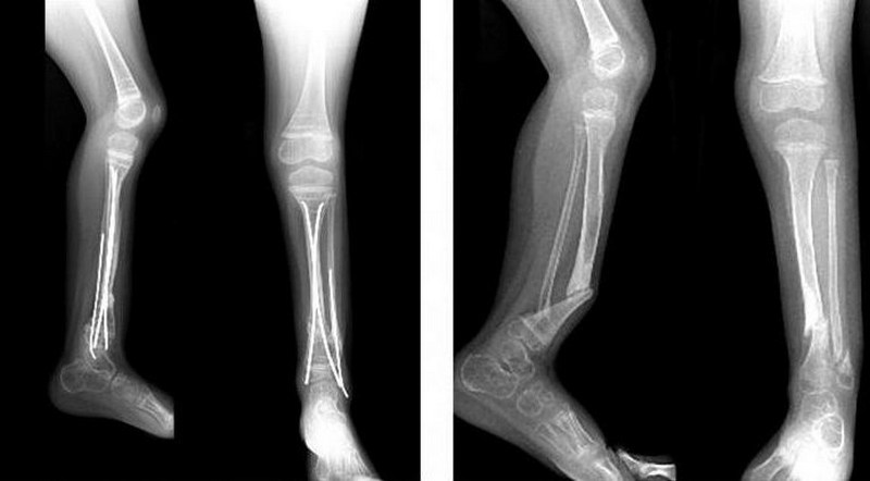
Основной метод подтверждения наличия ложного сустава – прицельная рентгенография, выполняемая минимум в двух проекциях. При необходимости, помимо прямой и боковой проекции, используют добавочные косые, позволяющие лучше детализировать кость. На рентгенограмме не видно признаков костной мозоли, фрагменты кости сглажены и закруглены, а на конце костного отломка появляется плотная замыкательная пластинка.
При атрофическом псевдосуставе концы костных фрагментов сужены, а при гипертрофическом – расширены, что отражает нарушение регенерации кости.
https://youtube.com/watch?v=3eat4OMNW4A
Подходы к терапии
Лечение псевдоартроза бедренной кости и других костных образований должно быть оперативным, так как консервативная терапия не способна привести к выздоровлению. Если лечащий врач отмечает признаки воспаления в месте формирования ложного сустава, то проведение операции откладывают до его исчезновения.
Местная терапия псевдосуставов основывается на проведении операции, направленной на создание условий, благоприятных для срастания костных фрагментов. Это требует удаления соединительной ткани с отломков кости, а также восстановления кровотока.
Существует три основных метода местной терапии:
- пластика кости;
- компрессионно-дистракционный остеосинтез;
- постоянный остеосинтез.
Для каждого конкретного пациента лечащий врач выбирает наиболее подходящий тип операции. При этом следует учитывать тип ложного сустава. Так, гипертрофический вариант псевдосустава служит показанием к наложению компрессионно-дистракционного аппарата, а атрофический псевдоартроз – к проведению костной пластики.
Применение аппарата Илизарова
Компрессионно-дистракционный остеосинтез основывается на использовании специальных устройств, чаще всего, аппарата Илизарова, обеспечивающего внешний остеосинтез.

Благодаря системе регулировки степени приближения колец, врачи могут контролировать процесс костной консолидации и предупреждать развитие ложных суставов. Подобные аппараты часто можно увидеть на фото пациентов в детском возрасте.
Постоянный остеосинтез
При наложении металлических деталей (пластин или стержней) непосредственно на части кости, говорят об устойчивом, или постоянном остеосинтезе. Подобные конструкции устанавливаются под общим наркозом и требуют своего удаления после полного восстановления целостности кости.
Наиболее часто, подобный тип операции используют у пациентов с атрофическим псевдоартрозом, так как при нем затруднительно проводить другие виды хирургических вмешательств.
Пластика кости
Костную пластику проводят достаточно редко. Данный вид операции может быть проведен не ранее, чем через 8 месяцев после перелома кости. Некоторые доктора рекомендуют откладывать вмешательство на один год. Подобные сроки необходимы для формирования замыкательных пластинок и полного окончания процессов восстановления костной ткани, кровеносных сосудов и нервных образований.
Реабилитация пациента
После проведения любого типа хирургического вмешательства, конечность больного иммобилизуется на достаточно большой срок. При снятии гипса, начинается реабилитационная работа, направленная на восстановление двигательной функции руки или ноги. Методы восстановления включают в себя:
- лечебную физкультуру с постепенным увеличением нагрузки;
- лечебный массаж, позволяющий повысить тонус скелетных мышц и улучшить обмен веществ;
- физиотерапевтические методы;
- санаторно-курортное лечение.
При своевременном проведении операции и полноценном реабилитационном периоде, прогноз для больного благоприятный. Если терапия была не полноценной, то возможны рецидивы формирования псевдосустава.
Заключение
Ложные суставы формируются на участке перелома кости в результате наличия факторов, нарушающих регенерацию костной ткани. Подобная патология не приводит к появлению выраженных симптомов и может быть долго не диагностирована. Важно отметить, что при раннем обращении за медицинской помощью и проведении комплексной терапии, хирургам удается восстановить нормальное положение костных отломков и обеспечить их физиологическое сращение.
Вопрос-ответ
Чем опасен ложный сустав?
Ложный сустав (несросшийся перелом) – это такая медицинская ситуация, когда лечащий врач уверен, что перелом уже не имеет шансов срастись без хирургического вмешательства. Наличие ложного сустава приводит к стойкой потере функции конечности и утрате привычного качества жизни.
Как лечится ложный сустав?
Основным методом лечения является хирургическое вмешательство. Общими принципами операции являются частичное удаление образованной патологической ткани и последующая фиксация костных отломков с помощью титановых конструкций.
Когда образуется ложный сустав?
Псевдоартроз или ложный сустав – образование, которое возникает после травмы кости из-за неправильного срастания обломков. Состояние характеризуется нарушением непрерывности кости и патологической подвижностью в поврежденном отделе.
Что будет, если не оперировать ложный сустав?
Иногда в клинической практике встречается и ложный сустав бедра (шейки бедра), ложный сустав ребра, других трубчатых костей. Если такое патологическое соединение не поддавать коррекции, со временем оно будет трансформироваться в более сложные патологии и рано или поздно станет причиной инвалидизации человека.
Советы
СОВЕТ №1
Изучите симптомы ложного сустава. К ним могут относиться боль, отек и ограничение подвижности в области травмы. Если вы заметили эти признаки после перелома, обратитесь к врачу для диагностики.
СОВЕТ №2
Не игнорируйте рекомендации врача по реабилитации. Правильная физическая терапия и упражнения помогут укрепить мышцы и восстановить функцию сустава, что может предотвратить развитие ложного сустава.
СОВЕТ №3
Обратите внимание на свое питание. Употребление продуктов, богатых кальцием и витамином D, поможет укрепить кости и ускорить процесс заживления после травмы, снижая риск формирования ложного сустава.
СОВЕТ №4
Регулярно проходите медицинские осмотры после серьезных травм. Это поможет своевременно выявить возможные осложнения и принять необходимые меры для их устранения.

