Травматические повреждения нижних конечностей встречаются у людей разного возраста и характеризуются развитием симптомов различной степени тяжести. Перелом заднего отростка таранной кости и других частей данного образования, приводит к появлению выраженных клинических проявлений. Жалобы пациента связаны с болевым синдромом и нарушением подвижности стопы.
Диагностика повреждения не представляет серьезных трудностей для врача и основывается на внешнем осмотре и использовании рентгенологических методов обследования. Терапия перелома подбирается доктором в зависимости от тяжести состояния больного, а также наличия у него показаний и противопоказаний к отдельным методам лечения.
О травме
Кости стопы образуют сложную систему, обеспечивающую подвижность ног человека. Таранная кость располагается в области голеностопного сустава и состоит из ряда анатомических частей: тела, головки, шейки и заднего отростка. Тело и шейка наиболее часто подвергаются переломам, а место заднего отростка травмируется редко.

Механизмы подобной травмы следующие:
- высокая осевая нагрузка, сопровождающаяся тыльным сгибанием в голеностопе;
- ротация стопы, вызванная выраженным подошвенным сгибанием в голеностопе;
На фото обычно хорошо видно, как выглядит подобная травма. Стопа в области голеностопного сустава отечна, возможны кровоподтеки, переходящие вверх по голени. Само суставное сочленение имеет видоизмененную форму, сниженную амплитуду движения.
Врачи отмечают, что лечение перелома таранной кости требует комплексного подхода и индивидуального подхода к каждому пациенту. В зависимости от характера и степени повреждения, терапия может варьироваться от консервативного до хирургического вмешательства. Консервативное лечение включает в себя иммобилизацию с помощью гипса или ортеза, что позволяет кости зажить в правильном положении. В случаях сложных переломов, когда наблюдается смещение фрагментов, может потребоваться операция для восстановления анатомической целостности кости. Важно также учитывать реабилитацию, которая включает физиотерапию и упражнения для восстановления функции стопы. Врачи подчеркивают, что своевременное обращение за медицинской помощью и строгое соблюдение рекомендаций специалистов играют ключевую роль в успешном восстановлении.
https://youtube.com/watch?v=jOJglWnGLX8
Разновидности травмы
В клинической практике используется несколько классификаций переломов таранной кости. У каждого пациента обязательно устанавливается та часть костного образования, которая была непосредственно повреждена: головка, шейка, задний отросток или тело.
Помимо этого, травматолог обязательно указывает классификацию с учетом дополнительных повреждений:
- смещение костных обломков отсутствует;
- смещение обломков, приводящее к подвывиху подтаранного сустава;
- формирование вывиха частей таранной кости;
- наличие вывиха таранно-ладьевидного сочленения.
Указанная классификация играет важную роль в выборе правильной тактики лечения, так как развитие этих повреждений в стопе требует проведения дополнительных процедур. Все переломы кости также подразделяются на закрытые и открытые, что определяется отсутствием или наличием повреждения кожи, соответственно.
Клинические проявления
Жалобы при получении травмы могут отличаться у отдельных пациентов. Однако врачи-травматологи выделяют основные симптомы перелома таранной кости стопы:
- болевые ощущения различной степени выраженности в голеностопном сочленении. Интенсивность боли усиливается при попытках сгибания или разгибания большого пальца;
- область вокруг сустава отечна, в первую очередь, по тыльной стороне ноги;
- в связи с отеком, объем голени в области лодыжек и стопы увеличен;
- попытки встать на поврежденную стопу приводят к резкому усилению болевого синдрома;
- если имеет место смещение костных отломков, голеностоп может иметь нехарактерную форму;
- при пальпации области голеностопа, доктор слышит хруст (крепитацию), а также прощупывает отдельные части кости.

- сильный болевой синдром в месте прикрепления ахиллова сухожилия, который усиливается при сгибании и разгибании стопы, характерно для перелома заднего отростка;
- если стопа у пациента согнута в сторону подошвы, а голеностоп имеет деформированную форму, то у больного, скорее всего, наблюдается нарушение целостности шейки кости;
- краевые переломы сопровождаются невыраженными клиническими симптомами, в том числе, болью, что может затруднить постановку точного диагноза и к ошибочному диагностированию ушиба.
Важно. Сложность анатомического строения стопы и наличие большого числа костных образований приводит к тому, что у пациентов в 60% случаев имеются переломы и других костей (медиальная и латеральная лодыжка, пяточная кость и пр.).
Лечение перелома таранной кости вызывает много обсуждений среди пациентов и специалистов. Многие отмечают, что процесс восстановления может быть длительным и требует терпения. Врачи часто рекомендуют консервативные методы, такие как иммобилизация с помощью гипса или ортеза, что позволяет избежать хирургического вмешательства. Однако некоторые пациенты делятся опытом операции, которая может быть необходима при сложных переломах.
Важно отметить, что реабилитация играет ключевую роль в восстановлении. Физиотерапия и специальные упражнения помогают вернуть подвижность и укрепить мышцы. Люди также подчеркивают важность соблюдения рекомендаций врача и регулярных контрольных осмотров. В целом, мнения о лечении перелома таранной кости разнообразны, но большинство согласны, что комплексный подход и своевременная помощь — залог успешного выздоровления.
https://youtube.com/watch?v=rK5JF-2RkHE
Подбор терапии
Для терапии переломов используется несколько терапевтических подходов: проведение закрытой репозиции, остеосинтеза и иммобилизации.
Наложение иммобилизации
Если у человека наблюдается неосложненный перелом, то в качестве основного метода лечения рекомендуется использовать гипсовую или полимерную иммобилизацию повязкой, которую следует наложить «сапожком».

Пациенту при этом рекомендуется стараться держать ногу в возвышенном положении для предотвращения усиления отечного и болевого синдрома.
Сроки иммобилизации при переломе таранной кости отличается у отдельных пациентов.
При отсутствии осложнений и положительных результатах контрольного рентгенологического исследования, повязка может быть снята через 6 недель.
Если на рентгеновском снимке через этот промежуток времени наблюдается неконсолидированный перелом таранной кости, т.е. сращения костных отломков не произошло, то срок иммобилизации увеличивают.
https://youtube.com/watch?v=rWitEYismVU
Закрытое сопоставление отломков
При наличии осложнений травмы терапевтические подходы отличаются. Так, лечение перелома таранной кости со смещением осуществляется с проведением закрытого сопоставления костных отломков. Подобная закрытая репозиция выполняется при проведении местного наркоза.
После осуществления репозиции, пациенту накладывают повязку в виде «сапожка» для иммобилизации стопы. Дополнительно используются обезболивающие средства из группы нестероидных противовоспалительных препаратов: Индометацин, Кеторолак и др. Через 6 недель повязку следует снять. Стопу сгибают под прямым углом и накладывают новую повязку. Общая продолжительность иммобилизации после закрытой репозиции – 3-4 месяца.
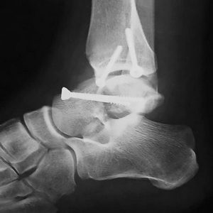
Проведение остеосинтеза
При наличии серьезного смещения отломков (от 1 см), нарушения целостности кожного покрова, дополнительных подвывихов и вывихов в суставных сочленениях, а также в ситуациях, когда закрытая репозиция не возможна, проводят оперативное лечение перелома таранной кости. Рекомендуется осуществлять хирургическое вмешательство не позднее 8 часов от момента получения травмы.
Хирургические операции выполняются по различным методикам:
- использование стержневого устройства, удерживающего спицы, по типу аппарата Илизарова позволяет закрепить костные отломки относительно друг друга, контролируя расстояние между ними;
- при классическом остеосинтезе для сопоставления отломков применяются стягивающие винты или мини-пластины;
- если выполнить реконструкцию кости не удается в связи с раздроблением ее на мелкие части или при развитии выраженного некроза костной ткани, то хирурги в таких случаях проводят артродез. Подобное вмешательство заключается в полном удалении поврежденных образований с соединением оставшихся целыми костей стопы. Необходимо отметить, что подвижность голеностопа при операции существенно снижается.
По завершению любого вида оперативного вмешательства, на стопу и голеностопный сустав накладывается фиксирующая повязка. Если у пациента использовался стержневой аппарат, то он сам выполняет функцию иммобилизации ноги.
Важным моментом в современном лечении травматических повреждений стопы, является ранняя и комплексная реабилитация таранной кости после перелома. Все пациенты должны получать обезболивающие средства, антибактериальные препараты, а место перелома следует регулярно обрабатывать антисептиками.
Реабилитация обязательно включает в себя проведение самомассажа и лечебного массажа, лфк низкой степени интенсивности, а также физиотерапевтические процедуры (лекарственный электрофорез, использование озокеритовых, парафиновых повязок и других подходов).
Возможные последствия
При попытках самостоятельного лечения и позднем обращении за медицинской помощью, возможно развитие негативных последствий перелома таранной кости:
- хронические болевые ощущения в области стопы;
- нарушение целостности хрящевых образований, сосудистого русла и нервных структур;
- некротические изменения в костной ткани, вплоть до развития остеомиелита;
- артрозы суставов стопы, приводящие к нарушению функций суставных сочленений.
Развитие любых осложнений может стать причиной утраты работоспособности, вплоть до выставления степени инвалидности.
Заключение
Доктора хорошо знают, что такое перелом таранной кости и к каким последствиям он может привести. В связи с этим, при любой травме стопы и возникновении боли с отеком мягких тканей, следует обращаться за профессиональной медицинской помощью.
Раннее выявление патологии позволяет подобрать эффективное лечение перелома заднего отростка таранной кости и других ее частей, а также предупредить развитие негативных последствий травмы.
Вопрос-ответ
Как долго заживает перелом таранной кости?
При переломах таранной кости, ввиду, как правило, высокоэнергетического характера травмы, такое бывает редко. Иммобилизация. Иммобилизация позволит удержать нормальное положение костных фрагментов до тех пор, пока не наступит их сращение. Иммобилизация при переломах таранной кости продолжается от 6 до 8 недель.
Чем опасен перелом таранной кости?
Особенность таранной кости — в её ограниченном кровоснабжении. Поэтому при переломах нарушается питание тканей, увеличивается риск некроза и артроза суставов, что делает восстановление особенно сложным. Даже незначительное смещение фрагментов может привести к тяжелым последствиям и хронизации болевого синдрома.
Как лечить перелом шейки таранной кости?
Пациентам потребуется ограничение нагрузки на поврежденную конечность и иммобилизация в течение 6-8 недель, если это будет сочтено целесообразным, до подтверждения заживления перелома. Однако большинство переломов шейки таранной кости являются смещенными и требуют хирургического вмешательства для возвращения костей на место и обеспечения заживления.
За что отвечает таранная кость?
Таранная кость – одна из костей, формирующих голеностопный сустав. Основной задачей которой является распределение массы тела на стопу.
Советы
СОВЕТ №1
Обратитесь к врачу сразу после травмы. Перелом таранной кости может быть сложным, и ранняя диагностика с помощью рентгенографии или МРТ поможет избежать осложнений и ускорить процесс лечения.
СОВЕТ №2
Следуйте рекомендациям врача по реабилитации. После снятия гипса или шины важно выполнять специальные упражнения для восстановления подвижности и силы в стопе, чтобы избежать долгосрочных последствий.
СОВЕТ №3
Используйте ортопедическую обувь. После лечения перелома таранной кости рекомендуется носить специальную обувь, которая обеспечит поддержку и защиту, особенно в период реабилитации.
СОВЕТ №4
Обратите внимание на питание. Убедитесь, что ваш рацион богат кальцием и витамином D, так как они способствуют заживлению костей и укреплению их структуры.


