Опухоль в голове занимает примерно 5% всех онкологических заболеваний. Новообразования данной области преимущественно развиваются в виде вторичного онкологического процесса, который является метастазом раковой опухоли внутренних органов.
Внутричерепные злокачественные новообразования характеризуются атипичным и безконтрольным делением мозговых клеток. В результате роста такой опухоли происходит повреждение жизненно важных центров мозга, что считается наибольшей опасностью для жизни пациента.
Причины появления опухоли в голове
Причины образования первичной опухоли в голове на сегодняшний день малоизученны. Онкологической науке известно лишь канцерогенное влияние ионизирующего излучения на мозговые ткани. Также, по статистическим данным, прослеживается генетическая взаимосвязь раковых опухолей мозга среди членов одной семьи.
Вторичные злокачественные новообразования головы возникают как следствие распространения раковых клеток из отдалённых органов и систем.
Врачи отмечают, что симптомы опухоли в голове могут варьироваться в зависимости от её расположения и размера. Часто пациенты жалуются на головные боли, нарушения зрения, проблемы с координацией и изменения в поведении. При наличии таких признаков важно незамедлительно обратиться к специалисту для диагностики. Удаление опухоли, как правило, является основным методом лечения, однако его успешность зависит от типа и стадии образования. Хирургическое вмешательство может значительно улучшить состояние пациента, но в некоторых случаях возможно применение радиотерапии или химиотерапии. Прогноз после удаления опухоли также зависит от её характера: доброкачественные образования, как правило, имеют благоприятный исход, тогда как злокачественные требуют более тщательного наблюдения и лечения. Врачи подчеркивают важность ранней диагностики для повышения шансов на успешное выздоровление.

Виды головных опухолей

В зависимости от этиологического фактора, новообразования головного мозга бывают:
- Первичными, когда раковый процесс первоначально развивается из мозговых тканей.
- Вторичными, причиной образования которых считается метастатическое распространение опухолей внутренних органов и кожных покровов.
Ведущие специалисты Всемирной Организации Здравоохранения разработали единую классификацию опухолей в голове, которая учитывает гистологическое строение онкологии.
- Нейроэпителиальные новообразования – опухоли собственно мозговой ткани, которые составляют около 60% от всех диагностированных поражения головного мозга.
- Менингиомы – это злокачественные новообразования оболочек головного мозга.
- Гипофизарные опухоли, локализацией которых выступает гипофиз.
- Невриномы представляют собой злокачественное поражение внутричерепных нервов.
- Метастатические новообразования. Источником таких опухолей в голове являются раковые поражения других органов и систем.
- Дизэмбриогенетическая онкология. Этот редкий вид поражения формируется в процессе нарушения эмбриогенеза.
Симптомы и ранние признаки
Мозговые ткани находятся в ограниченном пространстве черепной коробки, что обуславливает два типа симптомов.
Очаговые признаки опухоли в голове продиктованы локальным повреждением мозговой ткани и включают такие проявления:
- Нарушение пространственной, тактильной или болевой чувствительности. Больной не контролирует положение и движение своего тела.
- Расстройства памяти. Часто у таких пациентов отмечается потеря короткой или длительной памяти.
- Парезы и параличи центрального происхождения. Нарушение передачи нервного импульса вызывает блокировку мышц. Пациент теряет способность к произвольным движениям верхних и нижних конечностей.
- Эпилептические приступы, которые формируются вследствие перевозбуждения некоторых участков мозга.
- Нарушения слуха, зрения и речевого распознания.
- Дисфункция вегетативной нервной системы в виде быстрой утомляемости, снижения тонуса мышц и резким падением артериального давления.
- Гипофизарные опухоли провоцируют потерю равновесия гормонов.
- Зрительные и слуховые галлюцинации сопровождают большинство злокачественных новообразований в мозговых тканях.
Опухоль в голове при дальнейшем развитии вызывает повышение внутричерепного давления и передавливание частей мозга, что сопровождается следующей симптоматикой:
- Частые приступы головной боли, которая носит интенсивный характер. Такие боли, как правило, не проходят после употребления традиционных болеутоляющих средств.
- Тошнота и рвота. Такие симптомы объясняются давлением опухоли на рвотный центр в среднем мозге.
- Головокружения и потеря сознания, которые свидетельствуют о распространении новообразования в ткани мозжечка.
Мнения людей о симптомах опухолей в голове варьируются, но многие отмечают, что первые признаки могут быть неочевидными. Часто пациенты жалуются на головные боли, изменения в зрении или слухе, а также на проблемы с координацией. Удаление опухоли, как правило, вызывает множество вопросов и опасений. Люди делятся своими переживаниями о хирургическом вмешательстве, боясь возможных осложнений и последствий. Однако многие также отмечают, что современные методы лечения и высококвалифицированные специалисты значительно повышают шансы на успешное выздоровление. Прогноз после операции зависит от многих факторов, включая тип опухоли и стадию заболевания. Некоторые пациенты делятся положительным опытом, подчеркивая, что своевременное обращение к врачу и адекватное лечение помогли им вернуться к нормальной жизни.

Диагностик
Правильное лечение опухоли в голове требует точной диагностики. Установление окончательного диагноза требует цитологического и гистологического подтверждения. Но в подобных случаях провести биопсию мозга представляет для онколога большую трудность.
Первичный осмотр пациента с проверкой базовых рефлексов дает возможность врачу заподозрить примерное место роста опухоли.
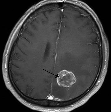
Ключевая роль в неврологической диагностике мозговых опухолей принадлежит рентгенографии, а также компьютерной и магнитно-резонансной томографиям. Эти методики применяют цифровую обработку результата рентгенологического обследования, что выявляет расположение и форму раковой опухоли.
Лечение опухоли в голове
Медикаментозное лечение
В случае диагностики неоперабельной формы опухоли, пациенту назначается поддерживающая терапия, которая заключается в медикаментозном устранении симптомов заболевания. Для этого онкологи применяют следующие средства:
- Наркотические обезболивающие препараты и нестероидные противовоспалительные препараты для купирования болевых приступов.
- Глюкокортикостероиды, способствующие уменьшению отечности мозговых тканей.
- Противорвотные и седативные средства (в зависимости от общего состояния организма).
Хирургическое удаление опухоли
Хирургический метод считается наиболее эффективным методом терапии опухолей головного мозга и проводится двумя способами :
- Традиционное оперативное вмешательство с трепанацией черепной коробки. Опухоль в голове, операция на которую осуществлялась хирургическим методом, в обязательном порядке подвергается цитологическому и гистологическому анализу в лаборатории.
- Радиологическая хирургия. Удаление опухоли в голове в такой способ проводится с помощью высокоактивного рентгенологического излучения. Это такие технологии как “кибер-нож” и “гамма-терапия“.
Лучевая и химиотерапия
Лучевая терапия у больных с опухолями головы может быть самостоятельной терапией или дополнением к хирургическому лечению. Методика заключается в дистанционном облучении мозговых тканей высоко активным гамма излучением.
Химиотерапия у таких пациентов сопряжена с такой трудностью, что далеко не все цитостатические средства проникают через гемаэнцефалический барьер. Для каждого больного подбирается индивидуальный курс химиотерапии и способ введения препаратов.

Прогноз
Своевременная и точная диагностика в сочетании с комплексной терапией дают 60-80%-й показатель послеоперационного выживания пациентов. Опухоль в голове, лечение которой началось на поздней стадии, имеет неблагоприятный исход, поскольку только 30-40% онкобольных с таким диагнозом доживают до пятилетнего рубежа.
Вопрос-ответ
Как долго живут после удаления злокачественной опухоли мозга?
Сколько живут после операции при опухоли головного мозга, зависит от ее гистологического типа, а также от того, полностью ли она была удалена. При наиболее злокачественных новообразованиях продолжительность жизни может составлять лишь 1-2 года.
Каков прогноз опухоли головного мозга?
Злокачественные опухоли головного мозга имеют неблагоприятный прогноз, поскольку не могут быть радикально удалены. В среднем длительность жизни больных зачастую не превышает года. Среди молодых пациентов общие шансы выжить зачастую выше, но с возрастом они уменьшаются.
Какие последствия после удаления опухоли в голове?
Отек и отек: После операции по удалению опухоли головного мозга может развиться отек и скопление жидкости (отек) в тканях головного мозга, что приводит к повышению внутричерепного давления. Это может проявляться в виде таких симптомов, как головные боли, тошнота, рвота и изменения зрения.
Советы
СОВЕТ №1
Регулярно проходите медицинские обследования, особенно если у вас есть предрасположенность к опухолям. Раннее выявление может значительно повысить шансы на успешное лечение.
СОВЕТ №2
Обратите внимание на любые изменения в своем здоровье, такие как головные боли, изменения в зрении или слухе, а также неврологические симптомы. Не игнорируйте их и проконсультируйтесь с врачом.
СОВЕТ №3
Если вам поставили диагноз опухоли, не стесняйтесь искать второе мнение. Разные специалисты могут предложить различные подходы к лечению и помочь вам выбрать наилучший вариант.
СОВЕТ №4
Поддерживайте здоровый образ жизни, включая сбалансированное питание и регулярные физические нагрузки. Это может помочь вашему организму справляться с лечением и улучшить общее состояние здоровья.

