Системный гранулематоз доброкачественной формы или саркоидоз легких представляет собой хроническое заболевание, которое сопровождается образованием специфических саркоидных гранулем в легочной ткани. Средний возраст пациентов, страдающих такой патологией, составляет 20-40 лет. Заболевание часто приходится дифференцировать с туберкулезом и злокачественным новообразованием.
Причины болезни
Этиология гранулематоза респираторной системы человека не известна. Специалисты выдвигают множество версий о причинах развития заболевания. Многие ученые сходятся во мнении о существовании следующих факторов риска:
- Генетическая предрасположенность.
- Хроническое инфицирование органов дыхания.
- Наличие производственных загрязнений окружающей среды.
- Табакокурение.
- Системное снижение уровня иммунитета.
- Частые вирусные и инфекционные поражения легких.
Врачи отмечают, что саркоидоз легких является воспалительным заболеванием, которое может вызывать беспокойство у пациентов из-за возможного перехода в рак. Однако, по мнению специалистов, это происходит крайне редко. Саркоидоз характеризуется образованием гранулем, которые, как правило, не трансформируются в злокачественные опухоли. Тем не менее, некоторые исследования показывают, что у пациентов с хроническим саркоидозом может наблюдаться повышенный риск развития легочного рака, особенно при наличии других факторов, таких как курение или длительное воздействие токсинов. Врачи подчеркивают важность регулярного наблюдения и контроля состояния пациентов с саркоидозом, чтобы своевременно выявлять возможные осложнения и проводить необходимые обследования. Таким образом, хотя связь между саркоидозом и раком легких требует дальнейшего изучения, большинство случаев не приводят к злокачественным образованиям.

Патогенез
В основе патологии находится хронический воспалительный процесс с образованием гранулем на фоне системного снижения иммунитета.
Принято разделять три стадии заболевания:
- Прегранулематозная – альвеолит. Воспалительное поражение бронхолегочной системы в этой фазе переходит в хроническую форму.
- Гранулемазная – постепенное образование эластического уплотнения легочной ткани в виде гранулемы.
- Фиброзная – в завершающей стадии болезни происходит рассасывание гранулем либо замещение легочной ткани фиброзной.
Клиническая картина
Саркоидоз легких в начальной стадии отмечается бессимптомным протеканием. На этом этапе болезнь может быть выявленной случайно во время флюорографического исследования.
Последующее развитие патологии вызывает такую клиническую картину:
- прогрессирующая одышка, которая наблюдается после повышенной физической активности;
- незначительная болезненность в области груди и межлопаточном пространстве;
- приступы периодического сухого кашля;
- общее недомогание и потеря работоспособности;
- ночная потливость;
- снижение аппетита и субфебрильная температура тела;
- боль в суставах верхних конечностей и пояснице.
Часто саркоидозное повреждение легких сочетается с поражением лимфатической системы. При этом пациенты жалуются на увеличение региональных лимфоузлов и сухость ротовой полости.
Саркоидоз легких — это заболевание, которое вызывает воспаление и образование гранулем в легочной ткани. Многие пациенты и их близкие часто задаются вопросом о возможной связи между саркоидозом и раком легких. В медицинской среде существует мнение, что саркоидоз сам по себе не является предраковым состоянием, однако некоторые исследования показывают, что у людей с саркоидозом может быть повышенный риск развития рака легких. Это может быть связано с хроническим воспалением и иммунными изменениями, которые происходят в организме. Тем не менее, важно отметить, что большинство пациентов с саркоидозом не сталкиваются с онкологическими заболеваниями. Регулярные медицинские осмотры и контроль состояния легких помогают выявить возможные изменения на ранних стадиях, что позволяет своевременно реагировать на любые угрозы. Важно консультироваться с врачом и не поддаваться панике, основываясь на слухах или непроверенной информации.

Чем опасен саркоидоз легких?
Несвоевременное лечение заболевания может закончиться системным поражением почек, печени, центральной нервной системы и сердца. Со стороны органов дыхания последствия могут быть следующими:
- Эмфизема легких или патологическое расширение пространства бронхиального дерева.
- Хроническая дыхательная недостаточность. Пациенты со временем ощущают одышку даже в состоянии полного покоя.
- Неспецифические поражения бронхов и альвеол. В таких случаях специалисты могут диагностировать дистрофические изменения бронхиальной системы в виде хронического обструктивного бронхита.
- Синдром легочного сердца. Длительное течение воспалительного процесса в бронхах провоцирует увеличение артериального давления в малом круге кровообращения, что в свою очередь вызывает патологическое увеличение объема правых отделений сердца.
В 10% пациентов заболевание заканчивается склерозом легочной ткани и образованием «сотового» легкого. Такие состояния организма сопряжены с высоким риском летального исхода.
Саркоидоз легких может перейти в рак?
Саркоидальное поражение легочных тканей считается самостоятельным заболеванием. Рак легких при этом никак не связан с данной патологией. Существует некоторое подобие клинической картины и рентгенологического исследования этих болезней. Переход саркоидоза в злокачественное новообразование не отмечается.

Факторы, при влиянии которых саркоидоз легких может перейти в онкологию
В медицине существует ряд факторов риска образования ракового поражения легких:
- Генетическая предрасположенность. Наличие саркомы легкого в прямого родственника в несколько раз увеличивает вероятность онкологии у пациента.
- Хронический обструктивный бронхит и табакокурение.
- Пребывание в зоне воздействия гамма-излучения.
- Снижение защитных способностей организма.
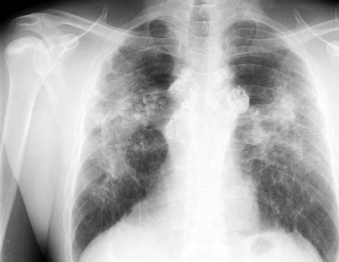
Диагностика
По статистике, у 40% больных диагноз выставляется по результатам изучения клинических симптомов и рентгенологического снимка легких. В остальных случаях окончательная диагностика требует проведения биопсии. При этом у пациента с подозрением на саркоидоз легких хирургическим путем изымается небольшая часть видоизмененной ткани. Гистологический и цитологический анализ биоптата определяет окончательный диагноз.
Пациенту необходимо помнить, что диагностическое исследование следует проходить у квалифицированного специалиста. Это связано с тем, что дифференциация гранулемного поражения проводится с диссеминированным туберкулезом и раком бронхоальвеолярной локализации.
К дополнительным диагностическим процедурам относятся:
- Общий и развернутый анализ крови.
- Компьютерную и магнитно-резонансную томографию.
Современное лечение
Современная тактика оказания медицинской помощи базируется на двух направлениях:
- Устранение воспалительной реакции организма.
- Предотвращения фиброзной замены легочной ткани.
На сегодняшний день наиболее эффективным способом терапии заболевания считается назначение курса приема кортикостероидных препаратов. Длительность такого лечения может составлять 6-8 месяцев. Для этого больной с диагнозом «саркоидоз легких» должен принимать «Преднизолон» в суточной дозе 25-30 мг. После рентгенологической констатации позитивного результата консервативной терапии дозировку фармакологического средства постепенно уменьшают до полной отмены.
В медицинской практике для лечения таких больных также целесообразно назначать нестероидные противовоспалительные препараты, антиоксиданты и иммуномодуляторы.
В этот период пациенту необходимо придерживаться специальной диеты. В ежедневном рационе должны присутствовать фрукты и овощи с высоким содержанием витаминов и минералов. Больному следует отказаться от употребления насыщенных простых углеводов в виде кондитерских изделий газированных напитков и хлеба. Также, ограничению подлежат кисломолочные продукты.
Прогноз
В подавляющем большинстве случаев протекание болезни имеет благоприятный характер. При этом у 10% больных может наблюдаться самопроизвольное улучшение самочувствия и исчезновение гранулем. Несмотря на такие показатели, выжидательная тактика лечения недопустима.
Своевременное проведение медикаментозного воздействия на легочные ткани дает позитивный результат. У 30-40% после специфической терапии наблюдаются рецидивы и переход болезни в хроническую стадию.
Негативные последствия патологии отмечаются у 8-12% людей. Саркоидоз легких может служить причиной летального исхода у менее чем 3% клинических случаев. При этом смертность связана с прогрессирующей дыхательной недостаточностью.
Вопрос-ответ
Какова связь между саркоидозом легких и раком легких?
Саркоидоз легких является воспалительным заболеванием, которое может вызывать образование гранулем в легких. Хотя у пациентов с саркоидозом наблюдается повышенный риск развития некоторых видов рака, в частности рака легких, прямая связь между саркоидозом и раком легких не установлена. Исследования показывают, что воспалительные процессы могут способствовать канцерогенезу, но это не означает, что саркоидоз обязательно переходит в рак.
Каковы симптомы саркоидоза легких и как они могут отличаться от симптомов рака легких?
Симптомы саркоидоза легких могут включать кашель, одышку, усталость, потерю веса и боли в груди. В то время как рак легких может проявляться схожими симптомами, он также может сопровождаться кровохарканьем, постоянной болью в груди и ухудшением общего состояния здоровья. Важно провести диагностику, чтобы отличить одно заболевание от другого.
Как диагностируется саркоидоз легких и как это влияет на риск рака?
Диагностика саркоидоза легких обычно включает рентгенографию грудной клетки, компьютерную томографию и биопсию легочной ткани. Если у пациента уже есть диагноз саркоидоза, важно регулярно проходить обследования, так как это может помочь в раннем выявлении возможных изменений, связанных с риском рака. Однако наличие саркоидоза не означает, что рак обязательно разовьется.
Советы
СОВЕТ №1
Регулярно проходите медицинские обследования. Если у вас диагностирован саркоидоз легких, важно регулярно посещать врача для контроля состояния и раннего выявления возможных осложнений.
СОВЕТ №2
Обратите внимание на симптомы. Будьте внимательны к изменениям в своем здоровье, таким как одышка, кашель или боль в груди. Если вы заметили ухудшение состояния, немедленно обратитесь к врачу.
СОВЕТ №3
Изучите информацию о саркоидозе. Понимание своего заболевания и его возможных последствий поможет вам лучше справляться с ним и принимать обоснованные решения о лечении.
СОВЕТ №4
Поддерживайте здоровый образ жизни. Правильное питание, регулярные физические нагрузки и отказ от курения могут помочь улучшить общее состояние здоровья и снизить риск осложнений.



