Рак языка ‒ это процесс бесконтрольного и атипичного деления клеток языковой ткани, который сопровождается проникающим ростом и образованием метастазов (вторичные очаги поражения).
Язык состоит из двух частей. Первая занимает две трети и находится в полости рта. Рак, который поражает эту видимую часть, имеет название пероральный. Вторая часть языка размещена ближе к гортани. Она имеет название – корень языка. Злокачественное образование этой области также классифицируется как рак ротоглотки.
Рак корня языка: причины и факторы риска
- заражение вирусом папилломы человека, который развивается на слизистой оболочке рта и горла, шейки матки. ВПЧ был обнаружен в различных количествах у людей с дисплазией, лейкоплакией и злокачественными образованиями;
- история курения больше 10 лет;
- частое употребление алкоголя;
- существует все больше доказательств, что оральный половой акт может быть условием того, что раковые заболевания переходят с половых органов у ротовую полость. Это в основном связано с путями передачи вируса папилломы человека;
- синдром Пламмера-Винсона, который связан с дефицитом железа. Научные данные предполагают, что защитными свойствами обладают витамины А и С, а также каротиноиды;
- диеты с низким содержанием фруктов и овощей.
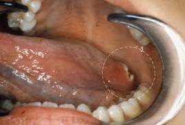
Рак корня языка – фото:
Однако, если у человека отсутствуют указанные факторы риска, это еще не значит, что он не может заболеть. Следует обращать особое внимание на признаки.
Рак корня языка представляет собой злокачественное новообразование, которое может проявляться различными симптомами. Врачи отмечают, что на ранних стадиях заболевание может быть бессимптомным, что затрудняет его диагностику. По мере прогрессирования опухоли пациенты могут испытывать боль, затруднения при глотании, а также изменения в голосе. Внешний вид опухоли может варьироваться: она может выглядеть как язва, утолщение или даже как белесоватое пятно на поверхности языка. Важно, чтобы пациенты обращались к специалистам при первых признаках дискомфорта, так как ранняя диагностика значительно увеличивает шансы на успешное лечение. Врачи подчеркивают необходимость регулярных осмотров у стоматолога и отоларинголога, особенно для людей с факторами риска.

Рак корня языка: симптомы
- боль в горле, что не уходит;
- затрудненное глотание, дисфункция речи;
- невозможность полностью открыть рот;
- трудности перемещения языка;
- потеря веса по неизвестным причинам;
- боль в ухе. Причиной такого состояния является поражение опухолью языкового нерва, связанного с ухом;
- плоскоклеточный рак возникает в эпителии в районах лейкоплакии или в месте хронического глоссита. Эти поражения, как правило, больше, чем 2 см;
- макроскопический вид повреждений зависит от длительности заболевания, количества кератинизации и изменений в соседней слизистой оболочке. Развитое поражение имеет крупногабаритный вид и способно изменятся от серого к серовато-синему оттенку, а также характеризуется грубой, папилломатозной поверхностью.
Клиническая картина рака корня языка
Наиболее распространенным видом новообразований этой области является плоскоклеточный рак. Пораженные клетки плоские и тонкие. Они выстилают внутреннюю поверхность ротоглотки. Злокачественное образование этого отдела обычно поражает слизистую оболочку рта, носа, гортани, щитовидной железы и горла.
Патологические изменения корня языка представляют собой опухоль на основе языка. На начальных стадиях заболевание сложно выявить. Ранним симптомом является боль в ухе, изменение голоса и затрудненное глотание происходят позже.
В связи с тем, что рак языка диагностируется поздно, раковая опухоль может распространиться на область шеи и лимфатические узлы.
Рак корня языка — это злокачественное новообразование, которое вызывает множество вопросов и опасений у людей. Многие отмечают, что симптомы могут быть неочевидными на ранних стадиях: это может быть легкий дискомфорт, затрудненное глотание или изменение голоса. Однако, по мере прогрессирования заболевания, пациенты начинают испытывать более выраженные боли и заметные изменения в состоянии языка. Внешний вид рака корня языка может варьироваться: от язвочек и утолщений до красных или белых пятен. Люди часто делятся своими историями о том, как важна ранняя диагностика и регулярные осмотры у врача, так как это может значительно повысить шансы на успешное лечение. Обсуждая эту тему, многие подчеркивают необходимость информирования о симптомах и факторах риска, чтобы повысить осведомленность и помочь другим избежать серьезных последствий.

Диагностика
- Осмотр тела и изучение истории болезни. Осмотр включает проверку лимфатических узлов в области шеи, а также обследование полости рта.
- Компьютерная томография ‒ процедура, которая делает серию снимков изображения внутренних органов из разных углов. В организм человека вводиться краситель, который способствует более четкому проявлению органов или тканей.
- Позитронно-эмиссионная томография позволяет выявить рак корня языка с помощью введения небольшого количества радионуклидов сахара в вену, поскольку пораженные клетки усваивают больше глюкозы, нежели обычные.
- Магнитно-резонансная томография. Процедура использует магнит, радиоволны и компьютер, чтобы сделать серию подробных изображений внутри тела.
Постановка диагноза
Медицинская система пользуется такой схемой постановки диагноза, где каждой букве отвечает определенное состояние организма:
- Т ‒ степень опухоли;
- N ‒ вовлечение региональных лимфатических узлов;
- М ‒ наличие метастазов.

Рак корня языка: лечение
Лечение рака корня языка зависит от размера опухоли и ее распространения на лимфатические узлы. В зависимости от ситуации может применяться хирургический метод, лучевая терапия и химиотерапия.
Хирургия:
Операция используется для удаления небольшой опухоли. Для злокачественных образований, которые распространились на лимфатические узлы и область шеи, применяется сочетание хирургического метода с лучевой терапией.
В случае, когда онкология поразила большое количество тканей организма, возможно, возникнет необходимость в удалении части или всего языка (глоссэктомия). После этого актуальной будет реконструктивная хирургия.
Лучевая терапия:
Злокачественное поражение корня языка предвидит использование радиологического лечения. Оно может быть предписано как до операции, так и после, а иногда является единственным способом повлиять на злокачественное образование. Лучевая терапия использует высокоэнергетические рентгеновские лучи, пучки электронов или радиоактивные изотопы. Этот способ помогает оберечь раковые клетки от деления.
Лучевая терапия опухолей включает 5-6 недель ежедневного лечения, пока рак не уступит.
Химиотерапия:
Это способ лечения в случае рака корня языка является не действенным. Однако его используют в комбинации с хирургическим вмешательством или лучевой терапией для предупреждения рецидивов или замедления роста опухоли. Химиотерапия также способствует контролированию симптомов, если заболевание не может быть вылечено.
Рак корня языка: прогноз
- Для Т1 и Т2 стадий поражения эффективно использование хирургического метода в сочетании с лучевой терапией. 5-летняя выживаемость колеблется от 80-90%.
- 5-летняя выживаемость у пациентов на III и IV стадиях заболевания становит 30-50%.
- У больных с метастазами в лимфатических узлах выживаемость уменьшается до 15-30%.
Вопрос-ответ
Как понять, что рак корня языка?
Рак корня языка может проявляться через различные симптомы, такие как постоянная боль или дискомфорт в области языка, наличие язвочек или опухолей, изменения в цвете или текстуре языка, затрудненное глотание, а также необъяснимая потеря веса. Если вы заметили эти признаки, важно обратиться к врачу для диагностики и возможного обследования.
Сколько живут с раком корня языка?
Одной из самых распространенных злокачественных опухолей полости рта является рак языка. При поздних стадиях этого заболевания всего 50% больных живут 5 лет и дольше.
Как выглядит предраковый язык?
Болезнь Боуэна. Поражаются ткани мягкого неба, области позади моляров, дна полости рта или боковой зоны языка. Очаг поражения выглядит как пятно застойно-красного цвета, которое со временем увеличивается. Его размер составляет от 1 см и более.
Советы
СОВЕТ №1
Регулярно проходите медицинские осмотры у стоматолога и отоларинголога. Это поможет выявить любые изменения в состоянии вашего языка и ротовой полости на ранних стадиях, что значительно увеличит шансы на успешное лечение.
СОВЕТ №2
Обратите внимание на любые необычные симптомы, такие как боли, язвы или изменения в цвете языка. Если вы заметили что-то подозрительное, не откладывайте визит к врачу.
СОВЕТ №3
Поддерживайте здоровый образ жизни: сбалансированное питание, отказ от курения и умеренное потребление алкоголя могут снизить риск развития рака корня языка и других заболеваний ротовой полости.
СОВЕТ №4
Обучайтесь и информируйтесь о факторах риска и симптомах рака корня языка. Знание о болезни поможет вам быть более внимательными к своему здоровью и своевременно реагировать на тревожные сигналы.


