Меланомное поражение кожи считается самым опасным раковым заболеванием, которое входит в шесть наиболее распространенных видов онкологии. В последние годы наблюдается интенсивное увеличение количества первичнодиагностируемых онкобольных с такой патологией.
Метастазы меланомы в легких наблюдаются на терминальных стадиях рака. Это свидетельствует об активном распространении раковых клеток гематогенным и лимфогенным путями, то есть через кровеносную систему и лимфатический ток. В таких случаях, как правило, происходит онкологическая инфильтрация региональных лимфатических узлов.
Первичный очаг злокачественного новообразования находится в кожных покровах и имеет вид темного узла. Бурая окраска опухоли возникает вследствие мутации меланоцитов, клеток отвечающих за пигментацию кожи. Такой раковый элемент длительное время может не вызывать субъективных ощущений у пациента. Опасность меланомы также заключается в высокой вероятности раннего метастазирования.
Симптомы
Метастазы в легких часто протекают бессимптомно, их обнаружение осуществляется случайно во время рентгенографического исследования грудной клетки.
Симптомы вторичного рака формируются после распространения онкологии на плевру. В таких случаях у пациентов наблюдается боль в груди, хронический кашель с примесью крови в мокроте и субфебрильная температура. Такая клиническая картина развивается на фоне прогрессирующего ухудшения общего самочувствия больного.
Врачи отмечают, что метастазы меланомы в легких представляют собой серьезную угрозу для здоровья пациентов. При распространении раковых клеток в легочную ткань симптомы могут быть неочевидными на ранних стадиях, что затрудняет диагностику. Часто пациенты жалуются на кашель, одышку и боли в груди, что может быть ошибочно интерпретировано как проявления других заболеваний. Специалисты подчеркивают важность регулярных обследований для людей с высоким риском, включая тех, кто уже перенес меланому. Современные методы лечения, такие как иммунотерапия и таргетная терапия, показывают обнадеживающие результаты, однако успешность терапии во многом зависит от своевременной диагностики и индивидуального подхода к каждому пациенту. Врачи призывают к повышению осведомленности о симптомах и необходимости обращения за медицинской помощью при их появлении.

Как диагностируют метастазы меланомы в легких?
Установление окончательного онкологического диагноза включает проведение следующих процедур:
- Выявление жалоб пациента и истории болезни.
- Визуальный осмотр первичного очага ракового роста.
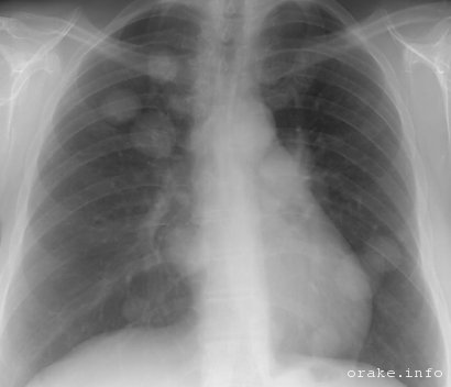
- Рентгенография бронхо-легочной системы, которая может обнаружить одиночные или множественные метастатические узлы в легочной системе.
- Компьютерная и магнитно-резонансная томография. Послойное сканирование патологической области с последующей цифровой обработкой рентгеновских снимков идентифицирует размеры опухоли, а также расположение и структуру злокачественного новообразования.
- Бронхоскопия. Обследование внутренней поверхности бронхов показано при вторичном поражении крупных бронхов.
- Биопсия. Гистологический и цитологический анализ небольшого участка патологической ткани определяет окончательный диагноз. Современная техника выполнения рентгенографии позволяет выставить онкологический диагноз без проведения биопсии.
- Общий и развернутый анализ крови на рак, в том числе определение уровня онкомаркеров.
Прогноз в таких случаях зависит от количества вторичных очагов меланомы. Наиболее негативный результат противораковой терапии наблюдается при множественной форме.
Как лечат метастазы меланомы в легких?
В большинстве случаев распространение онкологии в органы грудной клетки указывает на неоперабельную форму патологии, лечение которой заключается в паллиативном воздействии на организм.
В современной онкологической практике для терапии осложнений меланомы применяются следующие методики:
Химиотерапия
Является наиболее распространенным способом борьбы с повторной онкологией. Методика основывается на системном приеме цитостатических средств. Цитостатики оказывают губительное действие на атипичные клетки. Количество и дозировка курса терапии определяется индивидуально для каждого пациента.
Гормонотерапия
Коррекция гормонального фона показана при гормоночувствительности первичного онкологического узла. Такое лечение осуществляется как дополнение к основному противораковому курсу.
Хирургическая операция
Хирургическую операцию рекомендуют для онкобольных, у которых диагностирована одиночная опухоль без сопутствующих поражений органов и систем. Оперативное вмешательство в виде резекции легкого довольно редкостная процедура. Метастазы меланомы в легких – прогноз выживаемости после хирургического иссечения считается наиболее благоприятным.
Лучевая терапия
При таком заболевании способствует стабилизации патологического процесса и незначительному уменьшению объема опухоли.
Радиохирургия
Данная методика относится к инновационным технологиям лечения рака.
Лазерное иссечение видоизмененных тканей
Такое удаление производится тогда, когда мутация локализуется в области главного бронха и препятствует нормальному прохождению воздуха к альвеолам.
Метастазы меланомы в легких вызывают множество опасений и вопросов у пациентов и их близких. Многие отмечают, что это заболевание часто диагностируется на поздних стадиях, когда симптомы становятся более выраженными. Люди делятся своими переживаниями о том, как болезнь влияет на качество жизни, и как важно своевременно проходить обследования. Некоторые пациенты рассказывают о своем опыте лечения, включая химиотерапию и иммунотерапию, и подчеркивают, что поддержка близких играет ключевую роль в борьбе с болезнью. Также многие отмечают необходимость повышения осведомленности о меланоме и важности регулярного контроля состояния здоровья, чтобы выявить заболевание на ранней стадии.

Меланома – метастазы в легкие. Сколько живут?
Опухолевые осложнения меланомного поражения кожных покровов предусматривают негативный прогноз. Особенно отягощают выживаемость больных при раке повторные новообразования в легких, печени и костной системе. Длительность жизни пациентов при этом исчисляется несколькими месяцами от момента установления окончательного диагноза.
На длительность и качество жизненного периода влияют:
- Наличие раковых клеток в региональных лимфатических узлах.
- Уровень онкологической интоксикации.
- Количество вторичных очагов атипичного роста в легочной ткани.
- Общесоматические хронические болезни.
Единственный шанс на частичное выздоровление может дать хирургическое вмешательство по иссечению мутированных элементов, которое проводится в комплексе с химиотерапией и ионизирующим облачением.
Профилактика метастатического распространения меланом
Для предотвращения гематогенного и лимфогенного переноса опухолевых клеток людям необходимо регулярно обращать внимание на состояние своей кожи. При обнаружении аномального размера или формы родинки, пигментного пятна, необходимо незамедлительно проконсультироваться у врача-онколога.
Данная болезнь опасна тем, что метастазы меланомы в легких могут присутствовать при незначительной опухоли уже на начальной стадии.

Вопрос-ответ
Куда в первую очередь даёт метастазы меланома?
К наиболее частым дистантным очагам метастазирования меланомы кожи относят кожу и мягкие ткани, лимфатические узлы за пределами регионарного дренирования, легкие, печень, головной мозг, кости и тонкую кишку. Увеальная меланома чаще всего первично метастазирует в печень.
Метастазирует ли меланома в легкие?
Чаще всего метастазы меланомы поражают лимфатические узлы, лёгкие, печень, кости и головной мозг. По данным Американского онкологического общества, в Соединённых Штатах меланома будет диагностирована у 104 960 взрослых.
Каков прогноз выживаемости при меланоме с метастазами в легкие?
Сколько живут при меланоме с метастазами в легких и других органах? Прогноз пятилетней выживаемости при меланоме с метастазами в легкие, отдаленные лимфоузлы и другие органы – 15–20%. Это означает, что в течение пяти лет с момента установления диагноза в живых остаются 15–20 пациентов из ста.
Советы
СОВЕТ №1
Регулярно проходите медицинские осмотры и обследования, особенно если у вас есть предрасположенность к меланоме или вы уже перенесли это заболевание. Раннее выявление метастазов может значительно повысить шансы на успешное лечение.
СОВЕТ №2
Обратите внимание на любые изменения в вашем здоровье, такие как постоянный кашель, одышка или боли в груди. Эти симптомы могут указывать на наличие метастазов в легких и требуют немедленного обращения к врачу.
СОВЕТ №3
Изучите доступные варианты лечения метастазов меланомы, включая иммунотерапию и таргетную терапию. Консультация с онкологом поможет вам выбрать наиболее подходящий метод лечения в зависимости от стадии заболевания и общего состояния здоровья.
СОВЕТ №4
Поддерживайте здоровый образ жизни, включая сбалансированное питание и регулярные физические нагрузки. Это поможет укрепить иммунную систему и улучшить общее состояние организма, что может быть полезно в процессе лечения.


