Злокачественное новообразование клеток лимфосистемы носит название лимфома. Поскольку лимфатическая ткань представляет иммунную систему, онкологический процесс может начаться в разных тканях организма. Но структурными центрами являются именно те, в которых формируются лимфоидные клетки (головной, спинной, костный мозг, тимус и др.).
Клеточные элементы лимфы путешествуют по симпатической нервной системе. Существует гипотеза, что определенный вид лимфоцитов преобразовывается в онкологические поражения и провоцирует рак лимфы. Лимфома мозга еще обозначается как первичное онкопоражение ЦНС.
Раннее онкопоражение мозговых тканей может начаться в полушарии или в мозговых оболочках, а также в глазах.
Лимфома мозга: симптомы и диагностика
Общие признаки включают изменения в речи и зрении, лихорадку, стремительную и значительную потерю веса, головные боли, судороги, изменение сознания, паралич одной стороны тела.
Однако, симптомы не всегда дают достоверную информацию о заболевании. Рекомендовано провести следующие тесты и процедуры, чтобы как можно раньше диагностировать лимфому мозга или опровергнуть ее наличие:
- Неврологическое обследование, состоящее из проверки функционирования головного и спинного мозга. На экзамене устанавливается психическое состояние, уровень координации и рефлексов, деятельность мышц и органов чувств.
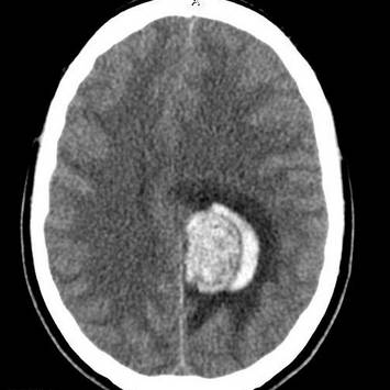
- Магнитно-резонансная диагностика позволяет диагностировать раковые заболевания с помощью магнитов, действий радиоволн и компьютеризированной техники. Они подают чреду подробных изображений пораженного участка тела. В венозный сосуд вводится контрастное вещество, которое концентрируется вокруг мутированных клеток, отображаясь ярче на картинке.
- Позитронно-эмиссионная томография используется для выявления опухолевых тканей в организме. В вену вводится необходимое для обследования количество радиоактивного сахара. ПЭТ на картинке отображает новообразования, вокруг которых собирается большее количество глюкозы.
- Люмбарная пункция ‒ процедура проводится посредством размещения иглы в позвоночнике. Сбор спинномозговой жидкости позволяет диагностировать первичную лимфому центральной нервной системы с помощью анализа уровня белка как признака рака в спинномозговой жидкости.
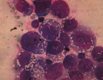
- Стереотаксическая биопсия ‒ процедура, при которой используется 3-мерное (3-D) устройство для сканирования внутренних органов, которые подозреваются в новообразованиях. Из них изымаются ткани для дальнейшего лабораторного исследования под микроскопом.
Врачи отмечают, что лимфома мозга представляет собой редкое, но серьезное заболевание, требующее комплексного подхода к диагностике и лечению. Специалисты подчеркивают важность раннего выявления, так как это значительно повышает шансы на успешное лечение. Симптомы могут варьироваться от головной боли и нарушений зрения до изменений в поведении и когнитивных функциях, что делает диагностику сложной. Врачи рекомендуют проводить МРТ и биопсию для точного определения типа лимфомы. Лечение часто включает химиотерапию и радиотерапию, однако выбор метода зависит от стадии заболевания и общего состояния пациента. Мнения специалистов расходятся относительно прогноза, но многие уверены, что при своевременном вмешательстве можно добиться значительных улучшений.

Диагностирование распространения
Первичная лимфома ЦНС, как правило, не растет. Но все же, при выявлении заболевания следует учитывать возможность дальнейшего метастазирования в другие органы, особенно костный и спинной мозг.
С целью детального изучения заболевания используются такие тесты:
- Компьютерная и магнитно-резонансная томография ‒ это серия подробных изображений внутренних органов под разными углами.
- Биопсия ‒ забор частицы тканей костного мозга, крови и кусочка кости. Изымание элементов для лабораторной экспертизы патологоанатомом производится из тазовой кости или грудины.
Лечение лимфомы мозга
Первичный рак центральной нервной системы не может быть удален хирургическим путем. Поэтому для его лечения используются такие методы:
Радиационная терапия
Использует частотную энергию рентгеновских лучей или излучения иного рода, чтобы уничтожить раковые клетки и контролировать их рост. Существует два типа лечения: внешняя лучевая терапия и внутренняя. Внешняя производит влияние на опухоль в отдали от тела. При внутренней применяются радиоактивные вещества, что проводятся непосредственно в опухоль или же вблизи от нее.
Химиотерапия
Влияет на новообразование с помощью медикаментозных средств. Препарат попадает непосредственно в желудочки головного мозга или спинномозговую жидкость (интратекальная химиотерапия). Действующее вещество также может находить и обезвреживать раковые клетки по всех органах тела. Это системная химиотерапия. Ее целесообразно проводить при распространении рака.
Стероидное воздействие
Это гормонотерапия, которая направлена на уничтожение новообразований. Онкология свидетельствует, что наиболее эффективными являются глюкокортикоиды, которые оказывают противораковое влияние.
Инновационное лечение
Еще проходит клинические испытания, но уже имеет позитивный результат.
- Высокие дозы цитостатиков с пересадкой стволовых элементов:
Манипуляция предвидит забор незрелых тканей кровеносной системы из костного мозга человеческого организма. После прохождения курса химиотерапии сохраненные стволовые клетки размораживаются и обратно вводятся пациенту через вливание. Они растут и восстанавливаются в клетках крови.
Разновидность лечения, что использует средства, которые атакуют и растворяют злокачественные клетки. Позитивная сторона таргерной терапии ‒ это минимальный вред для здоровых клеток. При первичной лимфоме мозга наиболее изучено применение моноклональных антител. Они производятся из одного типа клеток иммунной системы. Антитела фиксируются к пораженной ткани и обезвреживают раковые клетки, препятствуя их росту и распространению.
Лимфома мозга — это редкое, но серьезное заболевание, которое вызывает много вопросов и тревог у людей. Многие пациенты и их близкие делятся своими переживаниями о диагнозе, отмечая, что первое время испытывают шок и страх. Некоторые рассказывают о трудностях в поиске информации и поддержке, так как это заболевание не так широко обсуждается, как другие виды рака.
Люди часто говорят о важности ранней диагностики и обращения к специалистам, так как это может существенно повлиять на прогноз. Многие отмечают, что поддержка семьи и друзей играет ключевую роль в процессе лечения. В социальных сетях можно встретить истории о борьбе с болезнью, где пациенты делятся своими успехами и неудачами, что помогает другим не терять надежду.
Также часто упоминается необходимость комплексного подхода к лечению, включая химиотерапию и радиотерапию, а также важность психологической поддержки. В целом, обсуждения о лимфоме мозга подчеркивают, что, несмотря на сложности, многие находят в себе силы бороться и надеяться на лучшее.

Лимфома костного мозга

Клетки лимфомы способны накапливаться в органе до такой степени, что вытесняют нормальные клетки и ингибируют «рождение» здоровых тканей. Вследствие этого происходит снижение уровня эритроцитов, образование белых кровяных телец и т.д. Диагностика таких особенностей свидетельствует о наличии злокачественного процесса.
Как правило, вовлечение костного мозга в онкологическое заболевание выявляется на более продвинутой стадии (III или IV). Диагноз «лимфома мозга» устанавливается путем получения для лабораторного анализа образца костного мозга с помощью биопсии. Однако это не означает, что злокачественное образование не лечиться. Шанс на выздоровление все равно присутствует.
Вопрос-ответ

Можно ли вылечить лимфому головного мозга?
Лимфома головного мозга эффективно лечится благодаря комплексному подходу и применению ультрасовременных лечебных методик. Таргетная (прицельная) терапия – блокирование деления и роста злокачественных клеток с помощью препаратов – моноклональных антител, воздействующих на специфические внутриклеточные молекулы.
Что такое лимфома мозга?
Стаж работы – с 2022 г. Лимфома головного мозга – это злокачественное новообразование, вызванное аномальным делением и перерождением белых кровяных клеток.
Что такое лимфома головного мозга?
Лимфома головного мозга, также известная как первичная церебральная лимфома или первичная лимфома центральной нервной системы, — редкая, высокоагрессивная неходжкинская лимфома, которая возникает в лимфатической ткани (белых кровяных клетках) головного или спинного мозга, а также может встречаться в глазах.
Советы
СОВЕТ №1
Обратитесь к специалисту. Если у вас есть подозрения на лимфому мозга или вы испытываете симптомы, такие как головные боли, изменения в зрении или когнитивные нарушения, важно как можно скорее обратиться к врачу для диагностики и получения профессиональной помощи.
СОВЕТ №2
Изучите информацию о заболевании. Понимание лимфомы мозга, ее симптомов, методов диагностики и лечения поможет вам лучше справляться с диагнозом и принимать обоснованные решения о своем здоровье. Используйте надежные источники информации, такие как медицинские сайты и публикации.
СОВЕТ №3
Поддерживайте связь с близкими. Лимфома мозга может быть тяжелым испытанием как для пациента, так и для его семьи. Не стесняйтесь делиться своими переживаниями и эмоциями с близкими, это поможет вам справиться с психологическим стрессом и получить необходимую поддержку.
СОВЕТ №4
Следите за своим образом жизни. Правильное питание, регулярные физические упражнения и достаточный сон могут помочь укрепить иммунную систему и улучшить общее состояние здоровья. Обсудите с врачом, какие изменения в образе жизни могут быть полезны в вашем конкретном случае.


