Незначительные воспаления носовой полости принято считать обычной простудой. Ее симптомы могут пройти сами по себе, но очень часто обычный насморк является признаком серьезных осложнений. Одним из них может быть киста гайморовой пазухи.
Что такое и чем опасна киста гайморовой пазухи для здоровья человека?
С двух сторон человеческого носа расположены 4 синуса. Напоминают они 4-х сторонние пирамиды, которые напрямую связанны с полостью носа. Основной участок синусов занимают гайморовы (придаточные верхнечелюстные) пазухи. Изнутри они полностью укрыты слизистой оболочкой, нервными окончаниями и кровеносными сосудами.
В результате закупорки железы, которая продуцирует естественный вывод слизи, возникает образование в виде капсулы с жидкостью, что и является кистой. Другими словами, киста гайморовой пазухи – это доброкачественная патология небольших размеров, состоящая из сгустка слизи.
Существует два вида кисты гайморовой пазухи:
Классическая (истинная):
Может возникнуть в любой части пазухи. Заполнена тканями слизистой оболочки. Имеет двухслойное покрытие капсулы.
Псевдо (ложная) киста:
Возникает, как правило, в пазухах верхней челюсти. Состоит из любых тканей. Характеризуется реакциями на аллергены.
Учитывая место локализации и поражения, кисты бывают:
- Киста правой гайморовой пазухи.
- Левой пазухи.
- Двустороннее кистозное образование.
В зависимости от внутреннего состава новообразования, киста бывает:
- гнойная;
- слизистая;
- серозная.
Вовремя обнаруженная киста лечиться быстро и не оставляет следов существования. В случае запущенности болезни, образование может привести к опасным последствиям. Воспаление и образование гноя – самые частые симптомы заболевания. Осложнения сопровождаются высокой температурой, сильными мигренями, появлением гнойных выделений.
В результате роста гнойной кисты, ее содержимое начинает давить на кости и органы в черепе. Так же, большой размер образования может сдавливать некоторые анализаторы зрительной системы, что является особой опасностью. В самых запущенных случаях, киста может вызвать паталогические процессы: некроз или отделение костной ткани.
Врачи отмечают, что киста гайморовой пазухи является распространенным заболеванием, которое часто не вызывает симптомов и может быть случайно обнаружено при рентгенологическом исследовании. Специалисты подчеркивают, что большинство кист не требует хирургического вмешательства и может быть успешно контролируемо наблюдением. Тем не менее, при наличии выраженных симптомов, таких как головные боли, заложенность носа или выделения из носа, может потребоваться более тщательное обследование и лечение. Врачи рекомендуют пациентам не игнорировать симптомы и обращаться за консультацией, чтобы исключить другие, более серьезные заболевания. Важно помнить, что своевременная диагностика и индивидуальный подход к каждому случаю играют ключевую роль в успешном лечении.
https://youtube.com/watch?v=6wQFRcQg-m8
Почему образуется киста гайморовой пазухи?
У взрослых:
Киста у взрослых появляется в результате перенесенной болезни, связанной с носом. Это может быть ОРВИ, грипп, ринит, гайморит или обычная простуда, которая сопровождалась слизистыми выделениями из носа. Бывают и другие причины.
Анатомические особенности костей носа так же могут вызвать образование кисты. Например, неправильный прикус, искривление носовой перегородки или опущение твердого неба. Эти патологии препятствуют полноценной работе носовых путей. Из – за этого слизь может накапливаться, образуя сгусток.
В зависимости от причин возникновения, киста у взрослых людей бывает:
- Одонтогенная:
Возникает на корне воспаленного зуба. Чаще всего, такая киста довольно мелкая, но имеет тенденцию роста.
- Ретенционная:
Характеризуется как осложнение после закупорки в гайморовой пазухе.
Механизм возникновения сгустка слизи – утолщение, возникшее по причине различных воспалений. Каналы слизистой и полости пазух забиваются жидкостью и не могут естественно ее выводить. В итоге слизь собирается, образуя капсулу – кисту.
У детей:
У ребенка киста может возникнуть по причине заложенности протоков желез, а также в результате аллергической реакции на что-либо. Так же, одной из распространенных причин является сложность в качественной чистке носа маленьких пациентов.
Киста у детей часто бывает одонтогенной. Она может возникнуть во время болезненного прорезывания зубов. Дети, у которых выпадают молочные зубы, а за ними растут новые, так же подвержены воспалению и возникновению образований.
Как самостоятельно распознать рост КГП?
У взрослых:
Самостоятельно обнаружить наличие патологии невозможно. Киста имеет признаки, которые можно спутать с простудными симптомами. Однако, стоит посетить доктора при обнаружении некоторых симптомов:
- частые боли в районе верхней челюсти;
- продолжительные мигрени;
- часто повторяющиеся заболевания гайморовых путей;
- постоянная заложенность носа без видимых причин (простуды);
- выделения из носа желтого цвета.
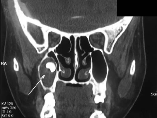
Диагноз устанавливается с помощью рентгеновского исследования. Для обнаружения кист используются такие диагностики:
- МРТ.
- Биопсия.
- Риноскопия.
- КТ (дает наиболее точные показания).
Согласно статистике, данное заболевание встречается у каждого десятого взрослого человека. Встречаются пациенты, которым медицинская помощь не обязательна. Многие живут с патологией, не подозревая о ее наличии. Но бывают и такие случаи, когда требуется срочное хирургическое вмешательство.
У детей:
Данное кистозное образование у детей очень часто обнаруживается абсолютно случайно. Малыши и подростки находятся под наблюдением врачей и регулярно проходят медосмотры. Но родителям все же нужна рекомендация специалиста, если у ребенка заметны такие симптомы:
- боль под глазами при наклонах головы;
- асимметрия или припухлость лица;
- частые насморки или гаймориты;
- гнойные выделения из носа;
- головные боли.
При своевременном выявлении заболевания, киста у детей лечится безболезненно и быстро.
Киста гайморовой пазухи — это довольно распространенное явление, о котором говорят многие. Люди часто делятся своими переживаниями и опытом, связанным с этой проблемой. Некоторые отмечают, что киста может не проявляться никакими симптомами и обнаруживается случайно при рентгене или УЗИ. Однако другие сталкиваются с неприятными ощущениями, такими как головные боли, заложенность носа или даже проблемы с дыханием.
Многие пациенты интересуются, как киста влияет на общее состояние здоровья и нужно ли ее лечить. Врачебные рекомендации варьируются: некоторые специалисты советуют наблюдать за кистой, если она не вызывает дискомфорта, в то время как другие могут предложить хирургическое вмешательство. Важно помнить, что каждый случай индивидуален, и лучше всего консультироваться с врачом, чтобы получить квалифицированное мнение и выбрать оптимальный путь лечения.
https://youtube.com/watch?v=xbD3mklsWUE
Как выглядит запущенная симптоматика?
У взрослых:
По мере роста кисты, замечается ухудшение состояния организма. При наличии таких признаков необходимо обращаться за медицинской помощью.
- ноющие боли в висках и глазах;
- постоянное чувство заложенности носа (даже если нос дышит нормально);
- неприятные ощущения в крыльях носа;
- повышенная температура.
Иногда киста увеличивается медленно и человек не чувствует дискомфорта. При достижении опасных размеров, данные симптомы возникают резко.
У детей:
Детский организм быстрее реагирует на инородные образования, поэтому симптомы проявляются ярче. Поскольку в верхних пазухах находятся участки отвечающие за обоняние, ребенок может жаловаться, что не чувствует запаха. По этой же причине голос стает грубым или гнусавым.
Так же, маленький пациент может страдать от боли в ушах, или от их заложенности. Все потому, что гайморовы пазухи напрямую связаны с органами слуха.
Может ли киста гайморовой пазухи перейти в рак и как защитить себя?
Поскольку киста не является злокачественным образованием – перерасти в рак она не может. Однако, запущенная форма болезни может привести к неприятным последствиям:
- ухудшение зрения;
- синуситы и риниты;
- постоянные мигрени;
- дефицит кислорода в организме;
- деформация черепных костей.
Обнаружение кисты еще не значит, что необходима операция. Во избежание вышеперечисленных последствий, пациент с наличием недуга должен регулярно проходить осмотр врача. Периодические направления на рентген помогут ЛОРу контролировать степень сложности кисты. Если назначена операция, специалисты настоятельно рекомендуют сделать ее незамедлительно.
https://youtube.com/watch?v=gIm1cDKTORY
Операция по удалению КГП
У взрослых:
Внутренняя стенка кисты состоит из эпителиальной ткани. Выработка слизи и наполнение кисты продолжается постоянно. Секрет провоцирует рост образования, и при достижении определенных размеров (более 6 мм), кисту необходимо удалять.
В современной медицине кисту удаляют эндоскопом. Инструмент представляет собой тонкую трубку, которая оснащена окуляром и видеокамерой на конце. Во время операции хирург видит все происходящее на мониторе компьютера. Таким образом, вмешательство проводиться с повышенной точностью и безопасностью.
В некоторых случаях (например, при искривлении носовой перегородки) для удаления кисты пользуются лазерным методом.
У детей:
Данное заболевание у детей часто протекает без симптомов. В таком случае врачи назначают наблюдательные мероприятия: регулярно посещать доктора и периодически делать снимки для контролирования роста кисты. Если образование достигает опасных размеров, назначается операция. Сегодня самой безопасной операцией для детей является микрогайморотомия – удаление кисты при помощи эндоскопа.
Безоперационное лечение КГП
Для лечения кисты требуется комплексное лечение, которое назначает врач отоларинголог. Использование методов народной медицины может быть дополнением к медикаментозному лечению.
У взрослых:
Для закапывания в нос пользуются такими народными средствами:
- Сок алоэ (капать в нос по 1 капле 3 раза в день);
- Заварка черного чая, эвкалипт и мед (соединить в равных частях и капать в нос по 1 капле 3 раза в день);
- Корень цикламена (с корня выжать сок и капать в нос по 2 – 3 капли по утрам);
- Сок черной редьки (помогает от головных болей, капать 5 капель в нос 3 раза в день);
Для промывания носа:
Нужно измельчить большую луковицу до состояния кашицы. В стакане с горячей кипяченой водой растворить столовую ложку меда и луковую кашу. Настоять 5 часов, а затем тщательно процедить. Делать промывания носовой полости два раза в день.
Для приема внутрь используют:
- Настой из целебных трав. В равных количествах смешать сухую траву: шиповник, пырей, цвет сирени и хвощ. Для заваривания нужно взять 2 столовые ложки сбора, залить кипятком и настоять 1 ночь. Пить 3 – 5 раз в день, немного разбавляя кипяченой водой.
- Виноградный сок и алоэ. В равных частях смешать кашицу алоэ, сок и мед. Принимать по 1 чайной ложке до еды.
- Грецкий орех. Сделать настойку из скорлупы ореха и пить по столовой ложке натощак.
Старинные рецепты пользуются популярностью и сегодня. Многие медики одобряют поддержку основного лечения народными методами, но только не в случае кисты гайморовой пазухи. Врачи категорически запрещают какое-либо самостоятельное вмешательство в воспаленную полость носа. Это чревато серьезными последствиями:
- Притупление симптоматики.
- Аллергические реакции.
- Опасность отравления.
- Несовместимость с другими препаратами.
- Вызывание воспалений.
Почти во всех случаях киста возникает по причине аллергической реакции. Так как растительные, эфирные и масляные составляющие народных рецептов способны вызвать аллергию, опасность в таком лечении возрастает вдвойне.
У детей:
При обнаружении верхнечелюстной кисты у ребенка, многие родители пытаются ограничиться лечением народными средствами. Но, к сожалению, такими действиями можно только навредить. При таком заболевании у детей, стоит знать несколько советов врачей:
- Нельзя смазывать нос изнутри медом.
- Не промывать нос ребенка с помощью настоев трав.
- Врачи запрещают ингаляции, основанные на травяных маслах.
- Нельзя закапывать нос травяными отварами и растительными маслами.
Чем младше ребенок, тем более он подвержен реакциям на аллергены. Также, при любых кистозных образованиях у детей, противопоказаны любые физиотерапевтические манипуляции!
Что делать, если КГП лопнула и к чему это может привести?
У взрослых:
Истинная киста гайморовой пазухи может увеличиться и лопнуть. В результате вся жидкость, находящаяся внутри патологии выйдет наружу и вызовет воспаление всех тканей и органов поблизости. Если образование носит гнойный характер, то гной может поразить органы головного мозга. Это явление очень редкое, а его последствия почти во всех случаях приводит к необратимым осложнениям. В случае вскрытия кисты левой пазухи – возникает абсцесс или сепсис, которые чреваты летальным исходом.
У детей:
Особо опасным случаем у детей является вскрытие образования во сне. Если ребенку будет сложно дышать из – за жидкости, то препятствия в дыхании могут привести к СОАС (синдром обструктивного апноэ сна). При данном синдроме может произойти остановка дыхания во сне.
Другая опасность для детей – это заражение инфекцией органов зрения, слуха и частей мозга. Лопнувшая киста у ребенка может так же закончится сердечно-сосудистыми заболеваниями по причине предыдущей нехватки кислорода.
Выводы
Вопрос-ответ
Чем опасна киста в гайморовой пазухе?
Киста гайморовой пазухи: симптомы поздней стадии болезни. Скопление жидкости приводит к сдавлению окружающих тканей и нарушению их кровоснабжения. Это чревато развитием воспалительной реакции, нарушением функции сосудов и резорбции жидкости.
Можно ли вылечить кисту гайморовой пазухи без операции?
Если обнаружена киста пазухи носа, лечение без операции проводится с помощью спреев-деконгестантов, антибиотиков, обезболивающих средств, муколитических средств, стероидных и антигистаминных препаратов.
Как убирают кисту в гайморовой пазухе?
Эндоскопическое лечение подразумевает удаление кисты с помощью эндоскопа. Операция малоинвазивна, выполняется под местной анестезией и занимает около 30 минут. В ходе операции в носовой ход или через альвеолярную лунку вводят эндоскоп и прокалывают полость. Кисту иссекают, очищают и дренируют пазуху.
Что будет, если киста в пазухе лопнет?
Разрыв кисты в носовых пазухах может произойти внезапно и сопровождается выделением прозрачной или желтоватой жидкости из носа. Иногда это приносит временное облегчение, так как уменьшается давление в пазухах. Однако важно помнить, что лопнувшая киста может стать причиной осложнений, если своевременно не принять меры.
Советы
СОВЕТ №1
Регулярно посещайте врача-отоларинголога для профилактических осмотров. Это поможет своевременно выявить и контролировать состояние гайморовых пазух, а также предотвратить развитие кисты.
СОВЕТ №2
Обратите внимание на симптомы, такие как головная боль, заложенность носа или выделения из носа. Если вы заметили их продолжительное время, не откладывайте визит к врачу для диагностики и возможного лечения.
СОВЕТ №3
Поддерживайте иммунную систему на высоком уровне. Правильное питание, регулярные физические нагрузки и достаточный сон помогут вашему организму бороться с инфекциями, которые могут способствовать образованию кист.
СОВЕТ №4
Избегайте самолечения и не используйте народные средства без консультации с врачом. Неправильное лечение может усугубить ситуацию и привести к осложнениям.


