Новообразования центральной нервной системы возникают в результате бесконтрольного и атипичного деления мутированных клеток. Этот процесс происходит в двух основных формах. Доброкачественная опухоль мозга характеризуется медленным ростом и не прорастанием в близлежащие структуры. Для злокачественного поражения типичным считается инфильтративный рост и образование вторичных очагов онкологии в отдаленных органах.
Этиология опухолей головного мозга
Достоверной причины образования генетической мутации, которая впоследствии провоцирует формирование опухоли мозга у взрослых и детей, на сегодняшний день не установлено. По мнению большинства специалистов, доброкачественная опухоль головного мозга развивается после генетической аномалии, радиационного облучения или хронического воздействия химических канцерогенов.
Доброкачественная опухоль мозга, по мнению врачей, представляет собой образование, которое не проникает в окружающие ткани и не метастазирует. Обычно такие опухоли имеют четкие границы и медленно растут. Врачи отмечают, что симптомы могут варьироваться в зависимости от локализации опухоли, но часто включают головные боли, изменения в зрении, слухе или координации. На МРТ доброкачественные опухоли выглядят как яркие участки с четкими контурами, что позволяет легко их отличить от злокачественных образований. Важно отметить, что даже доброкачественные опухоли могут вызывать серьезные проблемы, если они оказывают давление на жизненно важные структуры мозга. Поэтому регулярные обследования и консультации со специалистами крайне важны для своевременной диагностики и лечения.

Симптомы
Начальный период заболевания, как правило, протекает латентно. У таких пациентов могут возникать незначительные нарушения работы центральной нервной системы, которые в большинстве случаев не указывают на существование опухоли. Дальнейший рост новообразования сопровождается развитием специфических симптомов, характер которых связан с расположением патологии.
Общие признаки менингиальных доброкачественных опухолей включают:
- расстройства чувствительных функций зрения, обоняния или нюха;
- нарушения координации и чувства равновесия;
- патология процессов высшей нервной деятельности. Например, больные с опухолью главного мозга отмечают снижение внимания и концентрации. При этом также страдает память и артикуляция онкоболього во время разговора;
- судорожный синдром, который проявляется наличием внезапных судорог и потерей сознания;
- аномальные сокращения скелетных мышц;
- интоксикация организма, сопровождаемая тошнотой и рвотой;
- локальный или общий парез мимической системы лица;
- хронические мигрени;
- потеря чувствительности верхних и нижних конечностей.
Виды, фото, характеристика доброкачественных опухолей мозга
Все ткани головного мозга могут служить источником развития доброкачественного новообразования. Вот, наиболее распространенные виды опухолей данной области:
Это новообразование из клеток твердой мозговой оболочки. По статистическим данным это поражение диагностируется в 20% пациентов с церебральной онкологией.
В состав данной патологии входят мутированные шванновские клетки, которые находятся во всех отделениях головного и спинного мозга. Шваннома встречается примерно в 9% больных.
Специфической чертой такого новообразования считается гиперсекреция гормонов гипофизарной области. Аденома гипофиза определяется у 15% онкобольных с опухолью центральной нервной системы.
В эту группу новообразований входят доброкачественные поражения сосудистой системы, при которых опухоли часто имеют вид кист, заполненных кровяным содержимым. Согласно статистике, гемангиомы составляют 2% от всех раковых заболеваний головного мозга.

Это генетически передаваемая опухоль, которая состоит из эмбриональных тканей гипофизарной области.
- Папиллома хориоидного нервного сплетения:
Это относительно редкая опухоль, которая в основном встречается у пациентов до 3 лет. Характерной особенностью данного поражения считается нарушение микроциркуляции ликвора. В свою очередь патология течения спинномозговой жидкости провоцирует увеличение внутримозгового давления.
По теме: Рак мозга у детей: причины, симптомы, лечение, прогноз
Некоторые ученые к числу доброкачественных новообразований также причисляют дермоидные кисты, поскольку их развитие вызывает давление на близлежащую ткань головного мозга.
Доброкачественная опухоль мозга часто вызывает множество вопросов и опасений у людей. Многие отмечают, что такие опухоли, как правило, растут медленно и не проникают в окружающие ткани, что делает их менее опасными по сравнению с злокачественными. Однако, несмотря на доброкачественный характер, они могут вызывать серьезные симптомы, такие как головные боли, изменения в зрении или слухе, а также проблемы с координацией. Люди делятся своими переживаниями о том, как диагноз влияет на их жизнь и здоровье. Некоторые отмечают, что своевременное обнаружение опухоли и регулярные обследования помогают контролировать ситуацию. Важно помнить, что даже доброкачественные опухоли требуют внимательного подхода и наблюдения со стороны специалистов, чтобы избежать возможных осложнений.

Диагностика
Диагностика рака мозга, в большинстве случаев, не представляет особенных сложностей. Диагностика данного поражения базируется на результатах компьютерной и магнитно-резонансной томографий. При этих исследованиях врач оценивает состояние мозговых тканей с помощью цифровой обработки послойного сканирования черепной коробки.
Доброкачественная опухоль мозга – лечение
Отличительной чертой терапии доброкачественного поражения церебральных тканей считается не применение химиотерапии. Индивидуальный план лечения данных заболеваний составляется с учетом локализации опухоли и выраженности клинической картины.
Большинство подобных новообразований удается излечить без применения радикального вмешательства с помощью традиционной радиотерапии.
В случае передавливания жизненноважных мозговых центров врачи-онкологи рекомендуют провести хирургическую операцию. Удаление доброкачественной опухоли мозга при этом осуществляется посредством краниотомии, которая включает вскрытие черепной коробки и иссечение всех патологических элементов.
В последнее время в терапии опухолей мозга широкое применение получили технологии «гамма-терапия» и «кибер-нож». Данные методики являются абсолютно бескровными и безопастными способами удаления новообразований в труднодоступных местах мозга. Такие операции проводятся с помощью высокоточного фокусирования ионизирующего излучения, которое уничтожает только мутированные ткани, не повреждая близлежащие здоровые мозговые ткани.

Прогноз и выживаемость
Данное заболевание в целом имеет благоприятный исход. Полное излечение пациентов наступает в среднем в 80% случаев. Продолжительность жизни наиболее высокая среди пациентов младшего возраста, может подвергаться хирургическому лечению. В такой ситуации показатель послеоперационной выживаемости находится в пределах 50-60%.
Доброкачественная опухоль мозга считается излечимым заболеванием, результаты лечения которого напрямую зависят от ранней и правильной диагностики.
Вопрос-ответ
Как понять, что опухоль в голове доброкачественная?
Основные характеристики доброкачественных образований — медленный рост, отсутствие в них раковых клеток и низкая вероятность рецидива после удаления. Учитывая, что опухоли существенно отличаются друг от друга по составу и локализации, врачи применяют большое количество разнообразных подходов к их лечению.
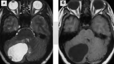
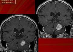
Как выглядит доброкачественная опухоль на МРТ?
Доброкачественная опухоль на МРТ. Однородная структура. Четкие, ровные контуры. Отсутствие перифокального отека. Слабое по сравнению со злокачественной опухолью накопление контрастного вещества (менее яркая).
Можно ли вылечить доброкачественную опухоль в голове?
Как проводится лечение доброкачественных опухолей мозга? Часто пациенты спрашивают, можно ли вылечить доброкачественную опухоль головного мозга. Полное излечение возможно хирургическим методом, но только в случае, когда новообразование располагается вне функционально важных участков мозга.
Как отличить злокачественную опухоль от доброкачественной?
Доброкачественные опухоли имеют зрелые клетки, которые можно отнести к определенному виду ткани. Они медленно растут, в то время как злокачественная опухоль имеет два вида роста: первый разрушает окружающие здоровые ткани, прорастая их.
Советы
СОВЕТ №1
Обратите внимание на симптомы. Доброкачественные опухоли мозга могут проявляться различными симптомами, такими как головные боли, изменения в зрении, слухе или координации. Если вы заметили у себя или близких подобные признаки, не откладывайте визит к врачу.
СОВЕТ №2
Регулярно проходите медицинские обследования. Если у вас есть предрасположенность к опухолям или другие факторы риска, регулярные обследования помогут выявить проблему на ранней стадии и начать лечение как можно скорее.
СОВЕТ №3
Изучите информацию о доброкачественных опухолях. Понимание того, как они выглядят и какие могут быть последствия, поможет вам лучше ориентироваться в ситуации и принимать обоснованные решения о лечении и образе жизни.
СОВЕТ №4
Не стесняйтесь задавать вопросы врачу. Если вам поставили диагноз доброкачественной опухоли, важно обсудить все аспекты, включая возможные методы лечения, прогноз и влияние на качество жизни. Чем больше информации вы получите, тем спокойнее будете себя чувствовать.



