Таз – сложная анатомическая структура, обеспечивающая стабильность туловища и нижних конечностей человека. Он состоит из трех отдельных костных структур: седалищной, лобковой и подвздошной. Знание строения седалищной кости позволяет своевременно выявлять заболевания, а также разработать методы их профилактики.
Общая информация
Многие люди спрашивают о том, где находится седалищная кость? Это костное образование, входящее в состав таза. В детском возрасте, кости таза располагаются отдельно и отделены друг от друга прослойками хрящевой ткани. У взрослого человека тазовые кости образуют единую структуру.
Седалищную кость анатомически делят на две отдельные части:
- непосредственно тело, образующее задненижнюю часть вертлужной впадины;
- ветвь, обеспечивающая формирование тазового кольца за счет соединения с его другими частями.
Внимание! Когда болят седалищные кости следует отличать подобную боль от ощущений, возникающих при поражении других костных структур в области таза, в том числе, бедренной кости. Ни в коем случае не стоит заниматься самолечением, так как болевой синдром может свидетельствовать о развитии тяжелой патологии: коксартрозе, переломах и др.
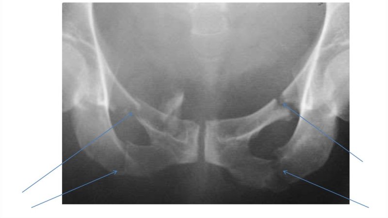
При осмотре пациента и изучении рентгенограмм, специалистам важно понимать, где находится седалищный бугор. Это небольшой костный выступ, расположенный на теле кости. Он имеет вид костного утолщения и является местом прикрепления сухожилий мышц. Кроме бугра выделяют задний запирательный бугорок, расположенный на костной ветви. Он также необходим для фиксации сухожилий и связочного аппарата.
Ветвь седалищной кости сращена с лобковой частью таза. Данное соединение до 20-22 лет представлено плотной волокнистой и хрящевой тканью. Вместе, обе кости формируют запирательное отверстие, через которое проходят крупные кровеносные сосуды и нервный пучок.
Имеется малая и большая седалищная вырезка, образующие два анатомических отверстия. Через них в таз заходят кровеносные сосуды и нервы, обеспечивающие кровоснабжение и иннервацию внутренних органов.
Чем опасно защемление седалищного нерва при беременности.
Как лечить перелом седалищной кости.
Что делать, если болит мышца на ноге в области бедра.
Седалищная кость, или ось седалищной области, представляет собой важный элемент человеческого скелета. Врачи отмечают, что она формируется из трех основных частей: тела, ветви и крыловидного отростка. Эти структуры обеспечивают поддержку и стабильность при сидении и передвижении. Специалисты подчеркивают, что седалищная кость играет ключевую роль в распределении нагрузки на таз и позвоночник, что особенно важно для предотвращения травм и заболеваний опорно-двигательного аппарата.
Кроме того, врачи обращают внимание на то, что седалищная кость является местом прикрепления множества мышц, что делает ее важной для функционирования нижних конечностей. Понимание анатомии и физиологии этой кости помогает в диагностике и лечении различных заболеваний, таких как остеоартрит и травмы. В целом, седалищная кость является не только структурным элементом, но и важным компонентом, влияющим на качество жизни человека.
https://youtube.com/watch?v=MEv150GTr5w
Процессы окостенения
Окостенение проходит в четыре этапа, которые приходятся на разные этапы развития ребенка. Начальные участки роста костной ткани выявляются уже у новорожденных детей. При проведении рентгенологического исследования, у ребенка после рождения удается выявить три отдельных кости, которые отделены друг от друга значительной прослойкой соединительной и хрящевой ткани. На данном этапе развития, структура таза еще не сформирована, а ветвь седалищной и лобковой кости не соединены.
Второй этап окостенения приходится на 7-8 лет. На рентгенограммах выявляется соединение друг с другом ветвей, что свидетельствует о начале формирования целостного тазового кольца.
Третий этап приходится на 14-15 лет и связан с увеличением количества половых гормонов и гормона роста в крови. Он проявляется формированием вертлужной впадины, которая участвует в образовании тазобедренного сустава, совместно с головкой бедренной кости.
Помимо крупных участков окостенения, наблюдаются, так называемые вставочные или дополнительные кости. Это небольшие фрагменты костной ткани, которые постепенно сливаются друг с другом, образуя цельную структуру. При нарушении их слияния в детском возрасте возможно формирование длительно существующих участков хрящевой прослойки.
В возрасте от 10 до 20 лет начинается активное окостенение бугорков на поверхности кости. Связано это с повышением нагрузки на связки и сухожилия мышц, прикрепляющихся к ним. Окончательный этап окостенения приходится на 20-25 летний возраст. В это время кости таза окончательно сливаются друг с другом, образуя монолитную структуру. С этого времени, анатомическое строение седалищной кости не изменяется.
У пожилых людей в седалищной кости постепенно начинают развиваться дистрофические процессы. Главным их проявлением является остеопороз, характеризующийся незначительным снижением плотности костной массы. Как правило, он не приводит к патологическим переломам при отсутствии сопутствующих патологий. Однако при повышенной нагрузке, болезнях эндокринной системы и других заболеваниях, у пожилого человека повышается риск травматических повреждений таза.
Внимание! Влияния, нарушающие окостенение (воспалительные процессы, дегенеративные изменения и др.) способны привести к тяжелым последствиям, связанным с недоразвитием костной ткани. В связи с этим, у человека может отмечаться развитие дисплазии тазобедренного сустава и другие нежелательные явления.
Различия у женщин и мужчин
Тазовые кости отличаются по строению в зависимости от пола человека. Подобная разница обусловлена детородной функцией женщин. В связи с прохождением ребенка по родовым путям, таз должен обладать определенной пластичностью, это обеспечивает его расширение во время родов.
В первые 20 лет жизни человека разницы между мужским и женским тазом нет. Он обладает схожей вытянутой формой, выявляемой еще в детском возрасте. После полового созревания, его строение начинает меняться. У женщин наблюдается разворот гребня подвздошной кости кнаружи, что обуславливает расширение верхних отделов тазового кольца. Седалищная кость при этом сохраняет пластичное соединение с лобковой костью, что позволяет расширяться тазу во время родов.
Справка! Перелом седалищной кости – серьезная патология, сопровождающаяся выраженным болевым синдромом и нарушением стабильности таза. Она может стать причиной повреждения внутренних органов, кровеносных сосудов и нервных пучков.
Седалищная кость, или ось седалища, часто становится предметом обсуждений среди анатомов и студентов медицины. Многие отмечают, что она играет ключевую роль в поддержании тела и обеспечении стабильности при сидении. Люди, занимающиеся спортом, подчеркивают важность этой кости для правильной осанки и распределения нагрузки на позвоночник. В разговоре о травмах, особенно у спортсменов, часто упоминается седалищная кость как место, где могут возникать болевые ощущения. Некоторые исследователи даже говорят о ее значении в эволюции человека, так как она способствует прямохождению. В целом, обсуждения вокруг седалищной кости подчеркивают ее важность в анатомии и физиологии человека.
https://youtube.com/watch?v=weE9GeGwVbQ
Заключение
Заболевания опорно-двигательного аппарата, в том числе таза, широко встречаются у людей различного возраста. Знание структур, образующих тазовое кольцо, в том числе анатомии седалищной кости, позволяет своевременно определить наличие патологии и обратиться к врачу. В этих случаях, прогноз для больного благоприятный, так как болезни лучше всего лечатся на начальных стадиях своего развития.
Вопрос-ответ
https://youtube.com/watch?v=X1cBdJUaqkw
Из чего состоит седалищная кость?
Седалищная кость (os ischii) состоит из тела и ветви. В области угла между телом и ветвью хорошо выражен седалищный бугор, выше которого видны седалищная ость, большая седалищная вырезка и малая седалищная вырезка.
Почему болят седалищные кости?
Как и другие нервы в теле человека, седалищный подвержен образованию воспалительных процессов. Их катализатором могут стать травмы, смещения позвонков, острые и хронические заболевания. Защемление чаще всего наблюдается на фоне травм, но также может стать следствием грыжи, остеохондроза и других заболеваний.
Какие ощущения вызывает боль в седалищной кости?
Ишиальный бурсит вызывает боль в синовиальных сумках вокруг седалищных костей. Большинство людей говорят, что могут точно определить место боли в ягодицах или на задней поверхности бедер. Боль чаще всего описывается как тупая, глубокая. Физические упражнения или длительное сидение могут усугубить состояние.
Сколько заживает седалищная кость?
Сроки реабилитации могут варьироваться от 2–3 месяцев до года и более. У молодых и физически крепких людей восстановление идет быстрее, а пожилым пациентам или людям с хроническими заболеваниями может потребоваться больше времени.
Советы
СОВЕТ №1
Изучите анатомию седалищной кости, чтобы лучше понимать ее функции и взаимосвязь с другими костями таза. Это поможет вам осознать, как она влияет на вашу осанку и движение.
СОВЕТ №2
Обратите внимание на здоровье своей спины и таза. Упражнения на растяжку и укрепление мышц, окружающих седалищную кость, могут помочь предотвратить боли и дискомфорт в этой области.
СОВЕТ №3
Если у вас есть проблемы с сидением или болями в области таза, не игнорируйте их. Консультация с врачом или физиотерапевтом может помочь выявить причины и предложить эффективные методы лечения.





